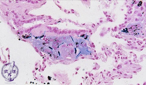
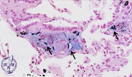
胸膜中皮腫ミクロ像(鉄染色強拡大)
胸膜中皮腫ミクロ像(鉄染色強拡大)

ミクロ像(鉄染色強拡大):アスベスト小体は鉄染色を行うと青色に染色され、容易に探すことができる。

画像をクリックすると拡大表示します。

  • ガイドなし
  • ガイドあり
  • 胸膜中皮腫マクロ像
  • 胸膜中皮腫ミクロ像(HE弱拡大)
  • 胸膜中皮腫ミクロ像(HE強拡大)
  • 胸膜中皮腫ミクロ像(HE弱拡大)
  • 胸膜中皮腫ミクロ像(鉄染色強拡大)