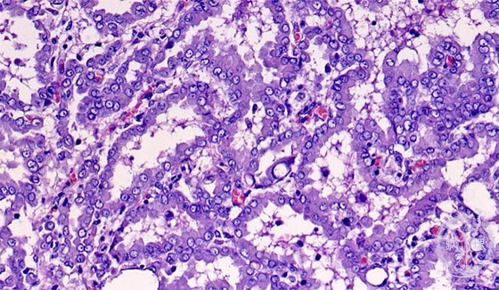
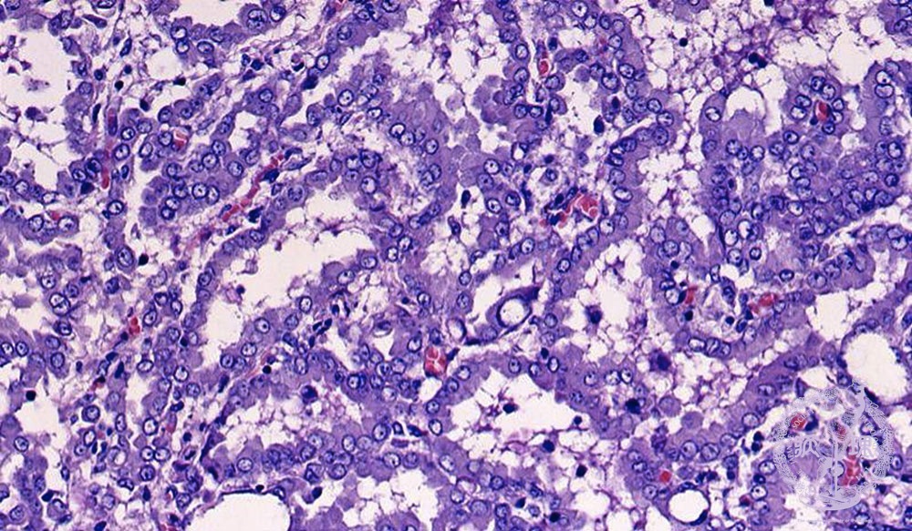
胸膜中皮腫ミクロ像(HE強拡大)

ミクロ像(HE強拡大):腫瘍細胞は腺管様構造、偽乳頭状構造を示しながら浸潤性増殖している。 HE染色のみでは肺腺癌との鑑別が困難なことがある。

画像をクリックすると拡大表示します。

  • この画像にガイドはありません
  • 胸膜中皮腫マクロ像
  • 胸膜中皮腫ミクロ像(HE弱拡大)
  • 胸膜中皮腫ミクロ像(HE強拡大)
  • 胸膜中皮腫ミクロ像(HE弱拡大)
  • 胸膜中皮腫ミクロ像(鉄染色強拡大)