胸膜中皮腫マクロ像
胸膜中皮腫マクロ像

マクロ像:肺の割面。全周性の胸膜の著明な肥厚(矢印)により肺実質(褐色)は圧排され、含気を失っている。白色に肥厚した部位は全て腫瘍(中皮腫)である。

画像をクリックすると拡大表示します。

  • ガイドなし
  • ガイドあり
  • 胸膜中皮腫マクロ像
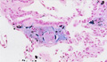
  • 胸膜中皮腫ミクロ像(HE弱拡大)
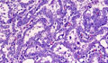
  • 胸膜中皮腫ミクロ像(HE強拡大)
  • 胸膜中皮腫ミクロ像(HE弱拡大)
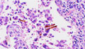
  • 胸膜中皮腫ミクロ像(鉄染色強拡大)