胸膜中皮腫ミクロ像(HE弱拡大)
胸膜中皮腫ミクロ像(HE弱拡大)

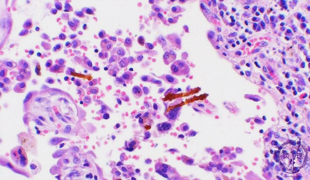
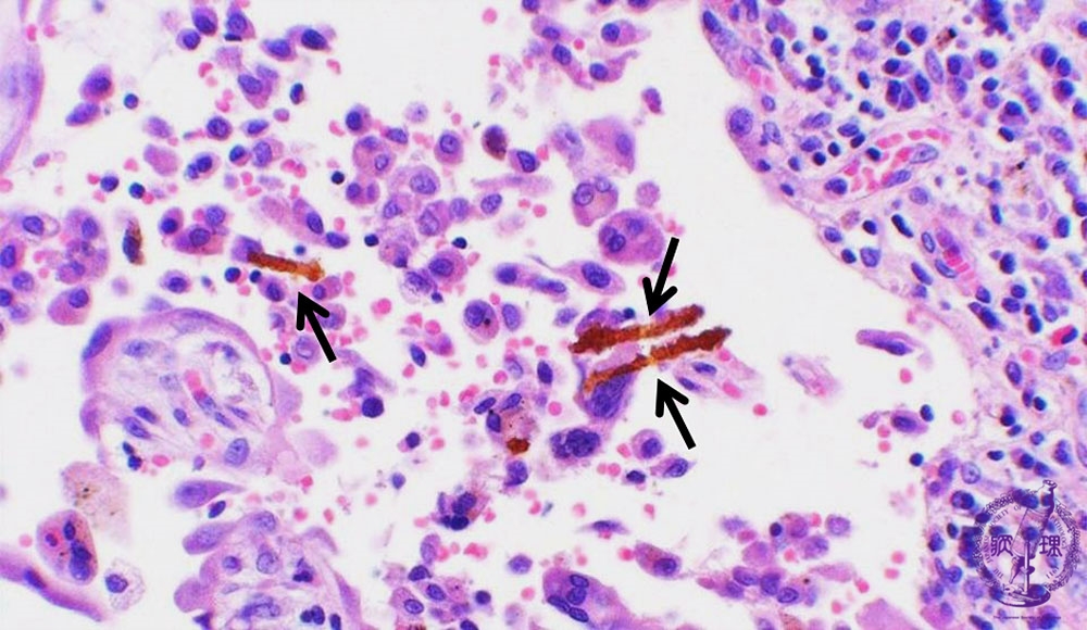
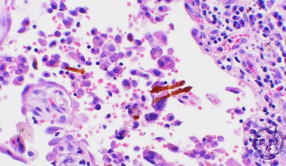
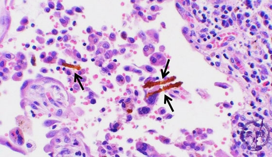
ミクロ像(HE弱拡大):胸膜中皮腫は石綿肺との関連が指摘されている。石綿肺では特徴的なアスベスト小体(矢印)が出現する。これはアスベスト線維の周囲に鉄沈着を伴ったものであり、HE染色では褐色を呈する。

画像をクリックすると拡大表示します。

  • ガイドなし
  • ガイドあり
  • 胸膜中皮腫マクロ像
  • 胸膜中皮腫ミクロ像(HE弱拡大)
  • 胸膜中皮腫ミクロ像(HE強拡大)
  • 胸膜中皮腫ミクロ像(HE弱拡大)
  • 胸膜中皮腫ミクロ像(鉄染色強拡大)