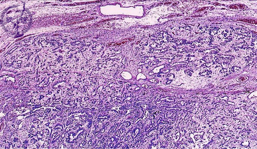
胸膜中皮腫ミクロ像(HE弱拡大)

ミクロ像(HE弱拡大):腫瘍は豊富な間質を有し、不規則な管腔あるいは偽乳頭を形成しながら浸潤性に増殖している。

画像をクリックすると拡大表示します。

  • この画像にガイドはありません
  • 胸膜中皮腫マクロ像
  • 胸膜中皮腫ミクロ像(HE弱拡大)
  • 胸膜中皮腫ミクロ像(HE強拡大)
  • 胸膜中皮腫ミクロ像(HE弱拡大)
  • 胸膜中皮腫ミクロ像(鉄染色強拡大)