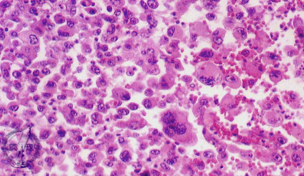
非小細胞肺癌(大細胞癌)ミクロ像(HE中拡大)

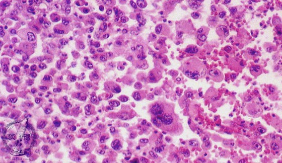
ミクロ像(HE中拡大):核の大小不同、核小体の著明な腫大や多核の細胞が見られる。 大細胞癌は除外診断的なものであり、腺癌、扁平上皮癌、小細胞癌いずれの特徴も併せ持たないことが前提である。

画像をクリックすると拡大表示します。

  • この画像にガイドはありません
  • 非小細胞肺癌(扁平上皮癌)マクロ像(未固定新鮮標本)
  • 非小細胞肺癌(扁平上皮癌)マクロ像
  • 非小細胞肺癌(扁平上皮癌)ミクロ像(HE弱拡大)
  • 非小細胞肺癌(扁平上皮癌)ミクロ像(HE強拡大)
  • 非小細胞肺癌(腺癌)マクロ像(腺癌胸膜切痕)
  • 非小細胞肺癌(腺癌)マクロ像
  • 非小細胞肺癌(腺癌)ミクロ像(HE弱拡大)
  • 非小細胞肺癌(腺癌)ミクロ像(左:HE強拡大、右:中拡大)
  • 非小細胞肺癌(腺癌)ミクロ像(HE強拡大)
  • 非小細胞肺癌(腺癌)マクロ像(未固定新鮮割面像)
  • 非小細胞肺癌(腺癌)ミクロ像(HE弱拡大)
  • 非小細胞肺癌(腺癌)ミクロ像(HE強拡大)
  • 非小細胞肺癌(大細胞癌)マクロ像
  • 非小細胞肺癌(大細胞癌)ミクロ像(HE中拡大)