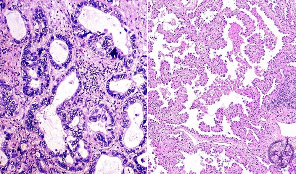
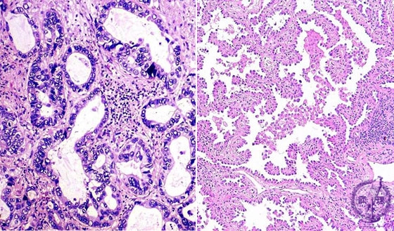
非小細胞肺癌(腺癌)ミクロ像(左:HE強拡大、右:中拡大)

ミクロ像(左:HE強拡大、右:中拡大):他の臓器の腺癌同様に腺腔形成(左)や乳頭状増生(右)が目立つこともある。

画像をクリックすると拡大表示します。

  • この画像にガイドはありません
  • 非小細胞肺癌(扁平上皮癌)マクロ像(未固定新鮮標本)
  • 非小細胞肺癌(扁平上皮癌)マクロ像
  • 非小細胞肺癌(扁平上皮癌)ミクロ像(HE弱拡大)
  • 非小細胞肺癌(扁平上皮癌)ミクロ像(HE強拡大)
  • 非小細胞肺癌(腺癌)マクロ像(腺癌胸膜切痕)
  • 非小細胞肺癌(腺癌)マクロ像
  • 非小細胞肺癌(腺癌)ミクロ像(HE弱拡大)
  • 非小細胞肺癌(腺癌)ミクロ像(左:HE強拡大、右:中拡大)
  • 非小細胞肺癌(腺癌)ミクロ像(HE強拡大)
  • 非小細胞肺癌(腺癌)マクロ像(未固定新鮮割面像)
  • 非小細胞肺癌(腺癌)ミクロ像(HE弱拡大)
  • 非小細胞肺癌(腺癌)ミクロ像(HE強拡大)
  • 非小細胞肺癌(大細胞癌)マクロ像
  • 非小細胞肺癌(大細胞癌)ミクロ像(HE中拡大)