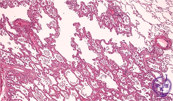
非小細胞肺癌(腺癌)ミクロ像(HE弱拡大)

ミクロ像(HE弱拡大):肺原発の腺癌では初期には既存の肺胞上皮を置換しながら増殖することが多く、細気管支肺胞上皮癌の形態を呈する。

画像をクリックすると拡大表示します。

  • この画像にガイドはありません
  • 非小細胞肺癌(扁平上皮癌)マクロ像(未固定新鮮標本)
  • 非小細胞肺癌(扁平上皮癌)マクロ像
  • 非小細胞肺癌(扁平上皮癌)ミクロ像(HE弱拡大)
  • 非小細胞肺癌(扁平上皮癌)ミクロ像(HE強拡大)
  • 非小細胞肺癌(腺癌)マクロ像(腺癌胸膜切痕)
  • 非小細胞肺癌(腺癌)マクロ像
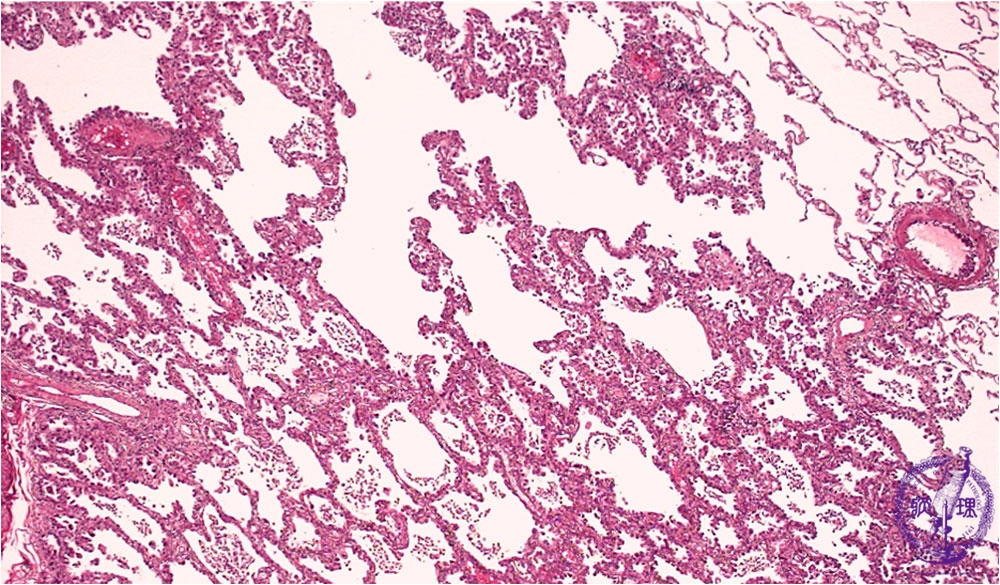
  • 非小細胞肺癌(腺癌)ミクロ像(HE弱拡大)
  • 非小細胞肺癌(腺癌)ミクロ像(左:HE強拡大、右:中拡大)
  • 非小細胞肺癌(腺癌)ミクロ像(HE強拡大)
  • 非小細胞肺癌(腺癌)マクロ像(未固定新鮮割面像)
  • 非小細胞肺癌(腺癌)ミクロ像(HE弱拡大)
  • 非小細胞肺癌(腺癌)ミクロ像(HE強拡大)
  • 非小細胞肺癌(大細胞癌)マクロ像
  • 非小細胞肺癌(大細胞癌)ミクロ像(HE中拡大)