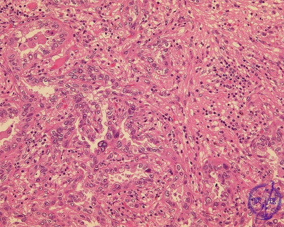
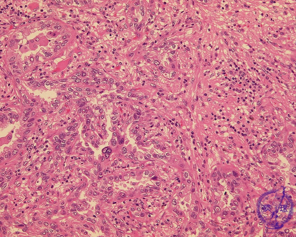
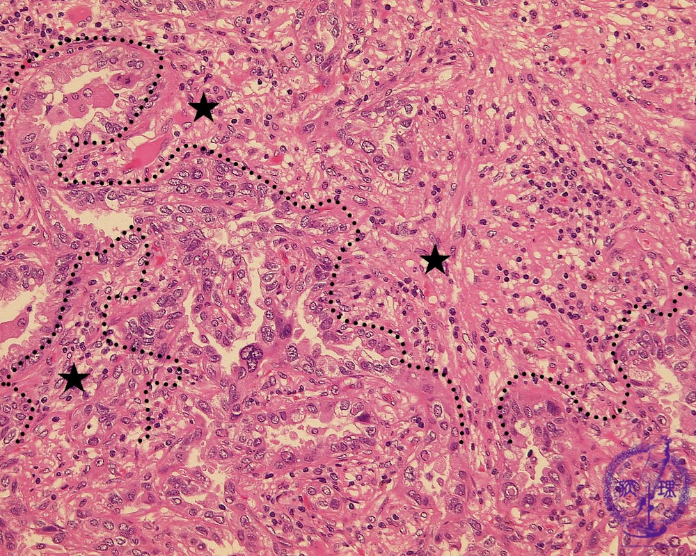
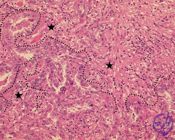
非小細胞肺癌(腺癌)ミクロ像(HE強拡大)
非小細胞肺癌(腺癌)ミクロ像(HE強拡大)

ミクロ像(HE強拡大):腫瘍中心部、浸潤癌の部分では腫瘍細胞は不規則な腺腔を形成しながら浸潤性に増殖している。複雑に入り組んだ間質(星印)にはリンパ球を中心とした炎症細胞の浸潤が見られる。

画像をクリックすると拡大表示します。

  • ガイドなし
  • ガイドあり
  • 非小細胞肺癌(扁平上皮癌)マクロ像(未固定新鮮標本)
  • 非小細胞肺癌(扁平上皮癌)マクロ像
  • 非小細胞肺癌(扁平上皮癌)ミクロ像(HE弱拡大)
  • 非小細胞肺癌(扁平上皮癌)ミクロ像(HE強拡大)
  • 非小細胞肺癌(腺癌)マクロ像(腺癌胸膜切痕)
  • 非小細胞肺癌(腺癌)マクロ像
  • 非小細胞肺癌(腺癌)ミクロ像(HE弱拡大)
  • 非小細胞肺癌(腺癌)ミクロ像(左:HE強拡大、右:中拡大)
  • 非小細胞肺癌(腺癌)ミクロ像(HE強拡大)
  • 非小細胞肺癌(腺癌)マクロ像(未固定新鮮割面像)
  • 非小細胞肺癌(腺癌)ミクロ像(HE弱拡大)
  • 非小細胞肺癌(腺癌)ミクロ像(HE強拡大)
  • 非小細胞肺癌(大細胞癌)マクロ像
  • 非小細胞肺癌(大細胞癌)ミクロ像(HE中拡大)