非小細胞肺癌(扁平上皮癌)マクロ像(未固定新鮮標本)
非小細胞肺癌(扁平上皮癌)マクロ像(未固定新鮮標本)

マクロ像(未固定新鮮標本):左上葉気管支を開くと、癌の浸潤(矢印)により気管支粘膜の縦縞が失われている。

画像をクリックすると拡大表示します。

  • ガイドなし
  • ガイドあり
  • 非小細胞肺癌(扁平上皮癌)マクロ像(未固定新鮮標本)
  • 非小細胞肺癌(扁平上皮癌)マクロ像
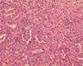
  • 非小細胞肺癌(扁平上皮癌)ミクロ像(HE弱拡大)
  • 非小細胞肺癌(扁平上皮癌)ミクロ像(HE強拡大)
  • 非小細胞肺癌(腺癌)マクロ像(腺癌胸膜切痕)
  • 非小細胞肺癌(腺癌)マクロ像
  • 非小細胞肺癌(腺癌)ミクロ像(HE弱拡大)
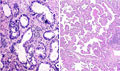
  • 非小細胞肺癌(腺癌)ミクロ像(左:HE強拡大、右:中拡大)
  • 非小細胞肺癌(腺癌)ミクロ像(HE強拡大)
  • 非小細胞肺癌(腺癌)マクロ像(未固定新鮮割面像)
  • 非小細胞肺癌(腺癌)ミクロ像(HE弱拡大)
  • 非小細胞肺癌(腺癌)ミクロ像(HE強拡大)
  • 非小細胞肺癌(大細胞癌)マクロ像
  • 非小細胞肺癌(大細胞癌)ミクロ像(HE中拡大)