• 20.皮膚
  • (12)皮膚悪性リンパ腫(菌状息肉症)
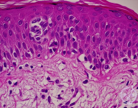
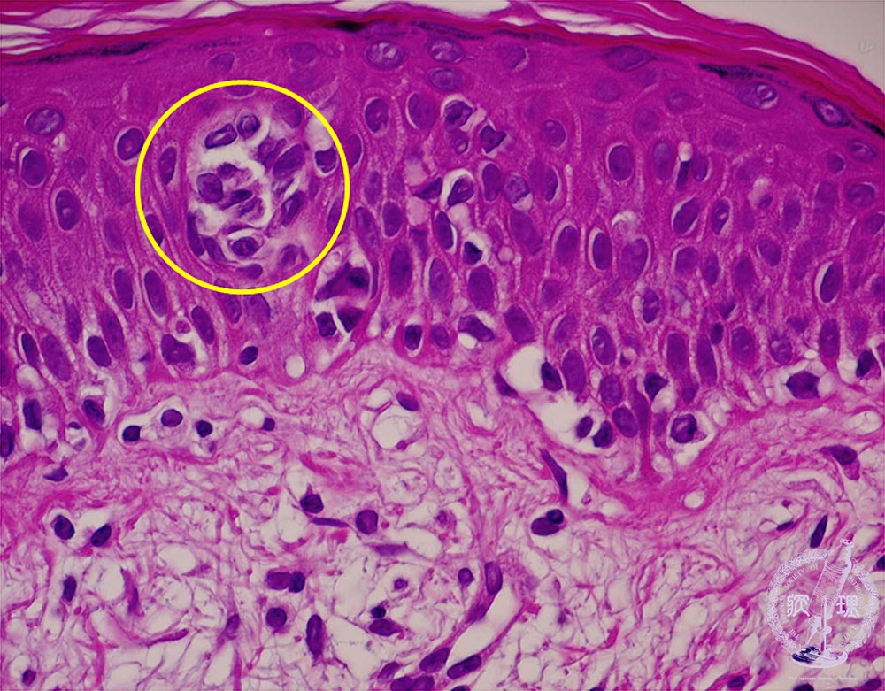
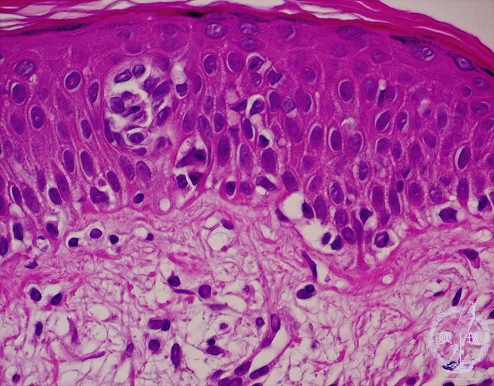
皮膚悪性リンパ腫(菌状息肉症)ミクロ像(HE強拡大)
皮膚悪性リンパ腫(菌状息肉症)ミクロ像(HE強拡大)

ミクロ像(HE強拡大):表皮内への異型リンパ球の侵入が見られ、微小膿瘍(円内)を形成している。

画像をクリックすると拡大表示します。

  • ガイドなし
  • ガイドあり
  • 皮膚悪性リンパ腫(菌状息肉症)マクロ像
  • 皮膚悪性リンパ腫(菌状息肉症)ミクロ像(HE左弱拡大、右強拡大)
  • 皮膚悪性リンパ腫(菌状息肉症)ミクロ像(HE強拡大)