• 20.皮膚
  • (12)皮膚悪性リンパ腫(菌状息肉症)
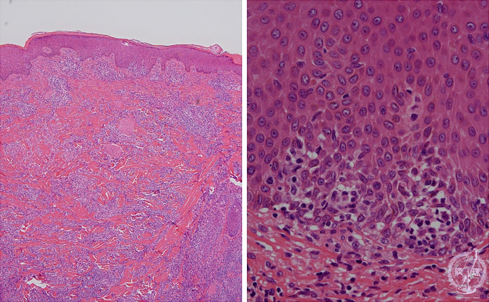
皮膚悪性リンパ腫(菌状息肉症)ミクロ像(HE左弱拡大、右強拡大)
皮膚悪性リンパ腫(菌状息肉症)ミクロ像(HE左弱拡大、右強拡大)

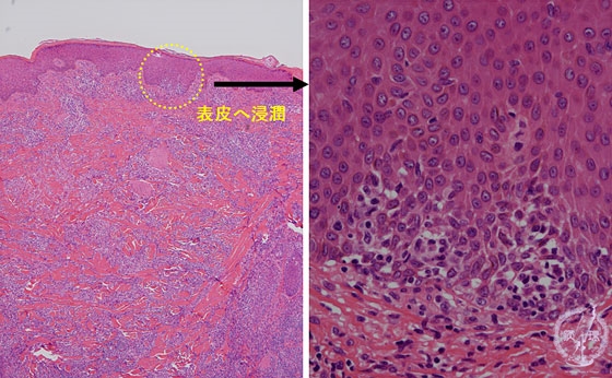
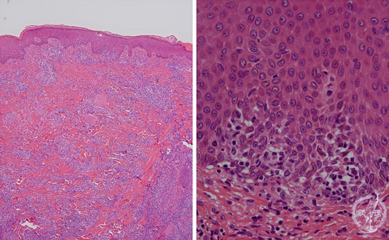
ミクロ像(HE左弱拡大、右強拡大):進行すると(写真は腫瘍期)、リンパ腫細胞が真皮でびまん性に増殖。表皮への浸潤傾向も見られる(円内)。

画像をクリックすると拡大表示します。

  • ガイドなし
  • ガイドあり
  • 皮膚悪性リンパ腫(菌状息肉症)マクロ像
  • 皮膚悪性リンパ腫(菌状息肉症)ミクロ像(HE左弱拡大、右強拡大)
  • 皮膚悪性リンパ腫(菌状息肉症)ミクロ像(HE強拡大)