• 20.皮膚
  • (12)皮膚悪性リンパ腫(菌状息肉症)
皮膚悪性リンパ腫(菌状息肉症)マクロ像

マクロ像:皮膚に発生し皮膚を増殖の中心とする、悪性リンパ腫(菌状息肉症は最頻)。写真は紅斑期。紅色の扁平隆起を多数認める。

画像をクリックすると拡大表示します。

  • この画像にガイドはありません
  • 皮膚悪性リンパ腫(菌状息肉症)マクロ像
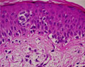
  • 皮膚悪性リンパ腫(菌状息肉症)ミクロ像(HE左弱拡大、右強拡大)
  • 皮膚悪性リンパ腫(菌状息肉症)ミクロ像(HE強拡大)