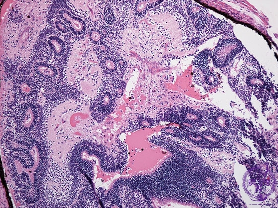
未熟奇形腫ミクロ像(HE中拡大)

ミクロ像(HE中拡大):未熟奇形腫。未熟な神経外胚葉組織が認められる。

画像をクリックすると拡大表示します。

  • この画像にガイドはありません
  • 卵巣成熟嚢胞性奇形腫マクロ像
  • 卵巣奇形腫(成熟嚢胞性奇形腫)ミクロ像(HE弱拡大)
  • 卵巣奇形腫(皮様嚢胞腫)ミクロ像(HE弱拡大)
  • 未熟奇形腫ミクロ像(HE弱拡大)
  • 未熟奇形腫ミクロ像(HE中拡大)
  • 未熟奇形腫ミクロ像(HE強拡大)