卵巣成熟嚢胞性奇形腫マクロ像
卵巣成熟嚢胞性奇形腫マクロ像

マクロ像:成熟嚢胞性奇形腫。嚢胞内には毛髪、脂肪様組織や歯牙(黄色矢印)が認められる。

画像をクリックすると拡大表示します。

  • ガイドなし
  • ガイドあり
  • 卵巣成熟嚢胞性奇形腫マクロ像
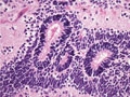
  • 卵巣奇形腫(成熟嚢胞性奇形腫)ミクロ像(HE弱拡大)
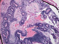
  • 卵巣奇形腫(皮様嚢胞腫)ミクロ像(HE弱拡大)
  • 未熟奇形腫ミクロ像(HE弱拡大)
  • 未熟奇形腫ミクロ像(HE中拡大)
  • 未熟奇形腫ミクロ像(HE強拡大)