卵巣奇形腫(成熟嚢胞性奇形腫)ミクロ像(HE弱拡大)
卵巣奇形腫(成熟嚢胞性奇形腫)ミクロ像(HE弱拡大)

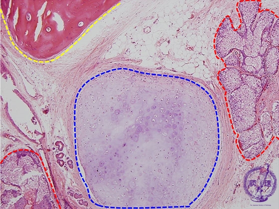
ミクロ像(HE弱拡大):成熟嚢胞性奇形腫。骨(黄色点線)、軟骨(青色点線)および皮脂腺(赤色点線)などが認められる。

画像をクリックすると拡大表示します。

  • ガイドなし
  • ガイドあり
  • 卵巣成熟嚢胞性奇形腫マクロ像
  • 卵巣奇形腫(成熟嚢胞性奇形腫)ミクロ像(HE弱拡大)
  • 卵巣奇形腫(皮様嚢胞腫)ミクロ像(HE弱拡大)
  • 未熟奇形腫ミクロ像(HE弱拡大)
  • 未熟奇形腫ミクロ像(HE中拡大)
  • 未熟奇形腫ミクロ像(HE強拡大)