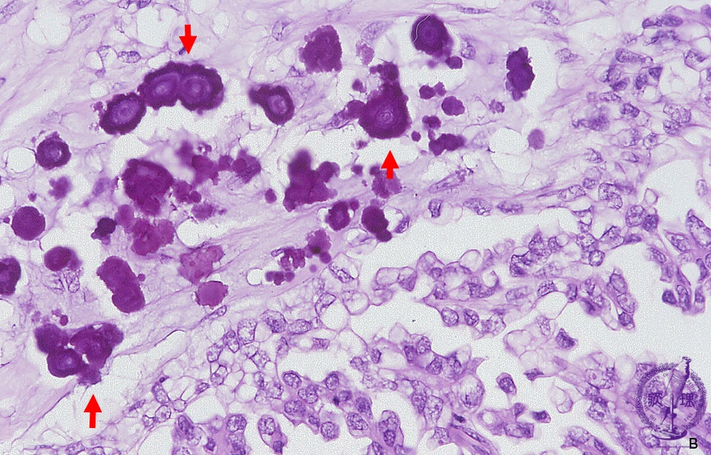
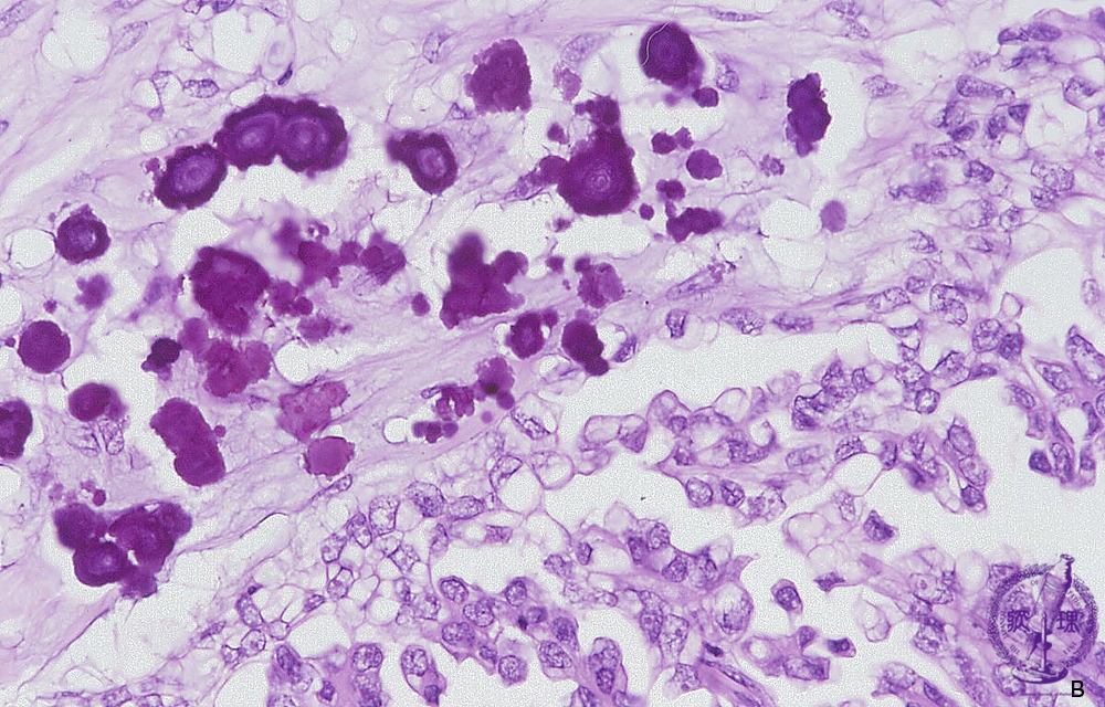
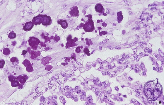
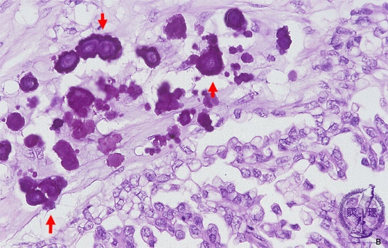
卵巣漿液性嚢胞腺癌ミクロ像(HE強拡大)
卵巣漿液性嚢胞腺癌ミクロ像(HE強拡大)

ミクロ像(HE強拡大):卵巣漿液性嚢胞腺癌。しばしば砂粒体(Psammoma body)と呼ばれる石灰沈着がみられる。

画像をクリックすると拡大表示します。

  • ガイドなし
  • ガイドあり
  • 卵巣漿液性嚢胞腺腫マクロ像(未固定新鮮標本)
  • 卵巣漿液性嚢胞腺腫ミクロ像(HE強拡大)
  • 卵巣漿液性嚢胞腺癌マクロ像(未固定新鮮標本)
  • 卵巣漿液性嚢胞腺癌マクロ像:
  • 卵巣漿液性嚢胞腺癌ミクロ像(HE弱拡大)
  • 卵巣漿液性嚢胞腺癌ミクロ像(HE中拡大)
  • 卵巣漿液性嚢胞腺癌ミクロ像(HE強拡大)