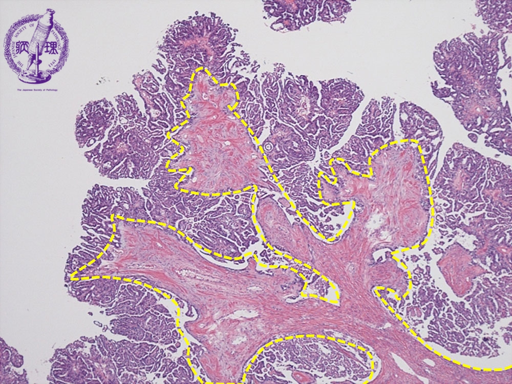
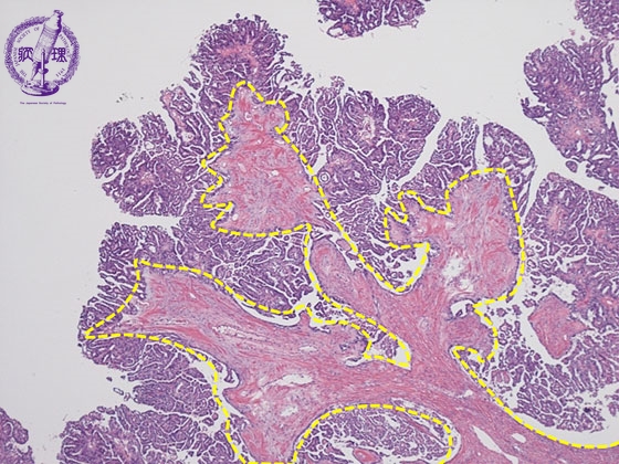
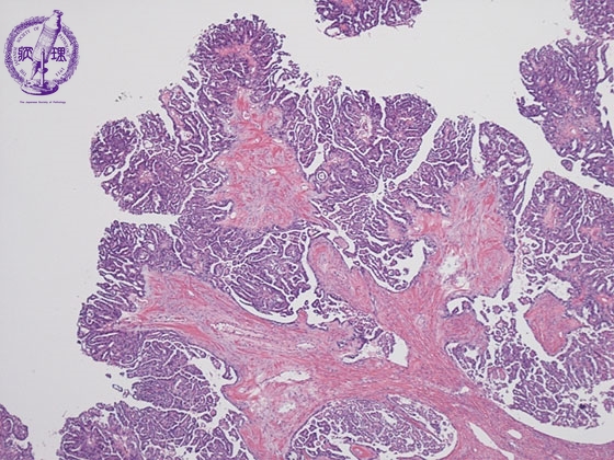
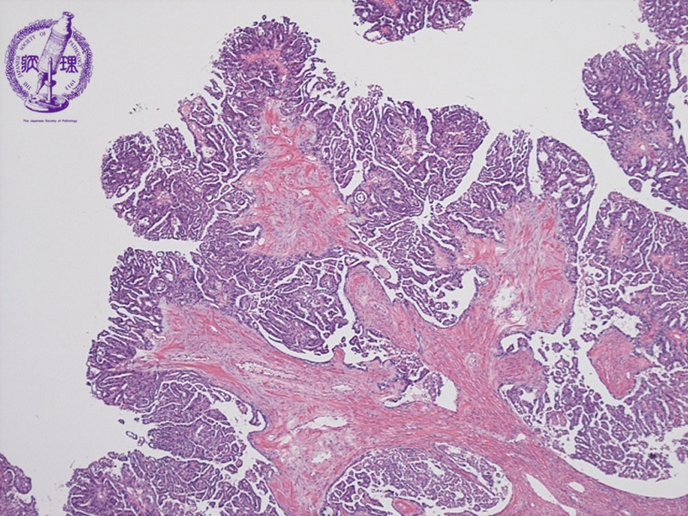
卵巣漿液性嚢胞腺癌ミクロ像(HE弱拡大)
卵巣漿液性嚢胞腺癌ミクロ像(HE弱拡大)

ミクロ像(HE弱拡大):卵巣漿液性嚢胞腺癌。比較的小型で立方状の癌細胞が線維性の間質(黄色点線)を伴いながら乳頭状に増殖している。

画像をクリックすると拡大表示します。

  • ガイドなし
  • ガイドあり
  • 卵巣漿液性嚢胞腺腫マクロ像(未固定新鮮標本)
  • 卵巣漿液性嚢胞腺腫ミクロ像(HE強拡大)
  • 卵巣漿液性嚢胞腺癌マクロ像(未固定新鮮標本)
  • 卵巣漿液性嚢胞腺癌マクロ像:
  • 卵巣漿液性嚢胞腺癌ミクロ像(HE弱拡大)
  • 卵巣漿液性嚢胞腺癌ミクロ像(HE中拡大)
  • 卵巣漿液性嚢胞腺癌ミクロ像(HE強拡大)