卵巣漿液性嚢胞腺腫マクロ像(未固定新鮮標本)

マクロ像(未固定新鮮標本):卵巣漿液性嚢胞腺腫。嚢胞内腔面は平滑で、充実性の増殖はみられない。

画像をクリックすると拡大表示します。

  • この画像にガイドはありません
  • 卵巣漿液性嚢胞腺腫マクロ像(未固定新鮮標本)
  • 卵巣漿液性嚢胞腺腫ミクロ像(HE強拡大)
  • 卵巣漿液性嚢胞腺癌マクロ像(未固定新鮮標本)
  • 卵巣漿液性嚢胞腺癌マクロ像:
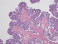
  • 卵巣漿液性嚢胞腺癌ミクロ像(HE弱拡大)
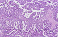
  • 卵巣漿液性嚢胞腺癌ミクロ像(HE中拡大)
  • 卵巣漿液性嚢胞腺癌ミクロ像(HE強拡大)