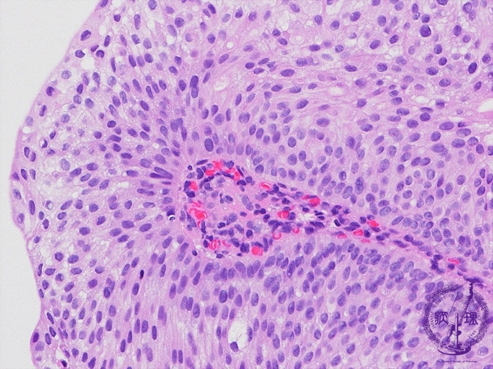
尿路上皮癌(移行上皮癌、G1)ミクロ像(HE強拡大)

ミクロ像(HE強拡大): G1。癌細胞は7層を越えて乳頭状に増殖している。

画像をクリックすると拡大表示します。

  • この画像にガイドはありません
  • 尿路上皮癌(移行上皮癌)マクロ像
  • 尿路上皮癌(移行上皮癌、G1)ミクロ像(HE中拡大)
  • 尿路上皮癌(移行上皮癌、G1)ミクロ像(HE強拡大)
  • 尿路上皮癌(移行上皮癌、G3)ミクロ像(HE強拡大)