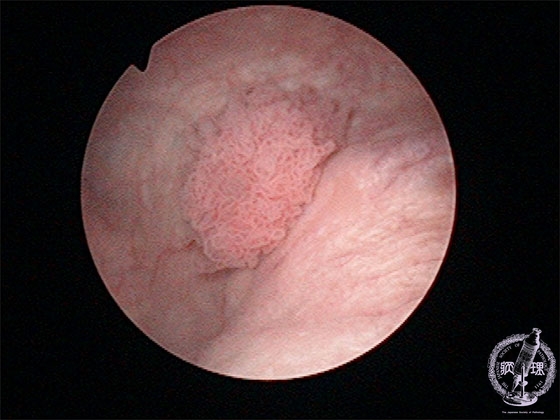
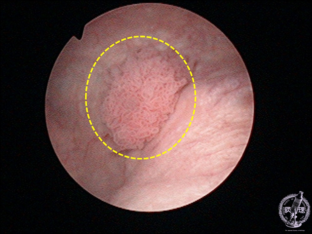
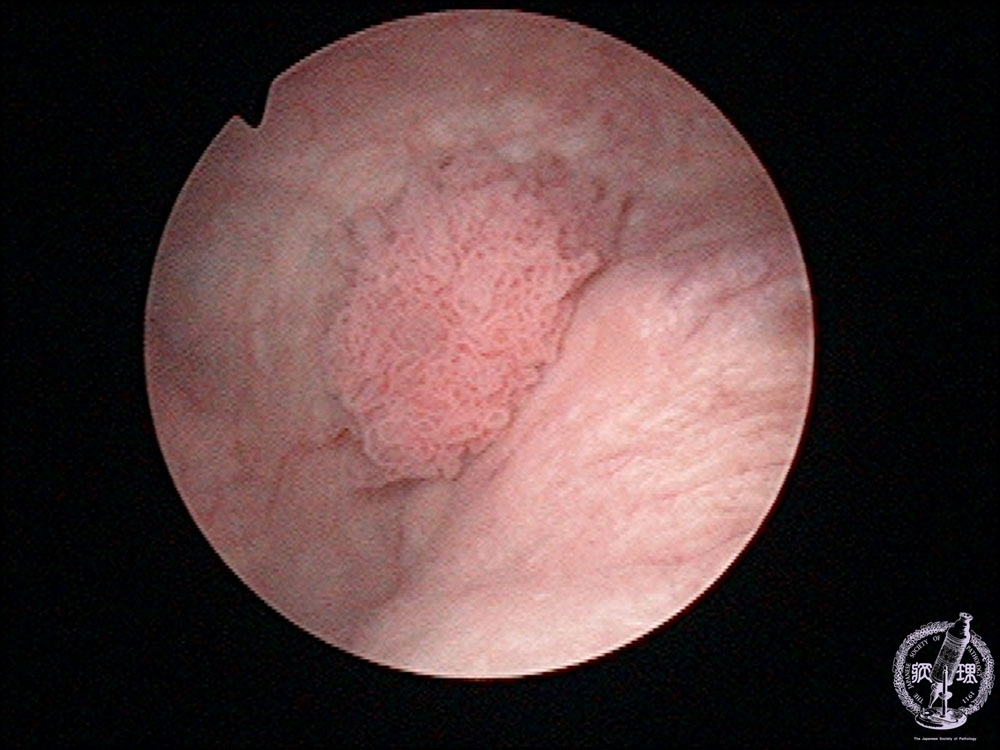
尿路上皮癌(移行上皮癌)マクロ像
尿路上皮癌(移行上皮癌)マクロ像

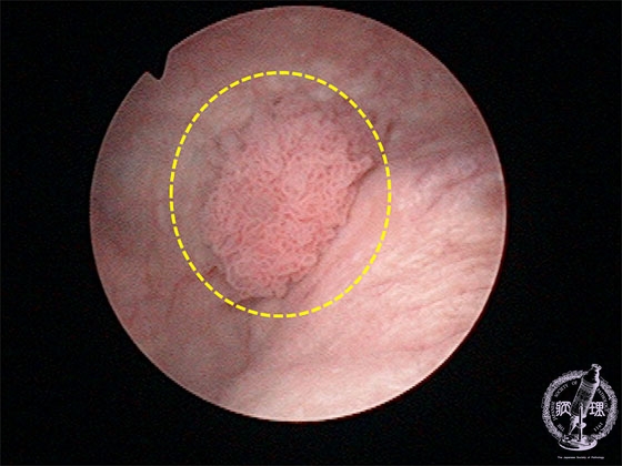
マクロ像:乳頭型膀胱尿路(移行)上皮癌の膀胱鏡像。乳頭状に増殖する腫瘍を認める(黄色点線)。

画像をクリックすると拡大表示します。

  • ガイドなし
  • ガイドあり
  • 尿路上皮癌(移行上皮癌)マクロ像
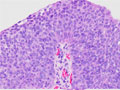
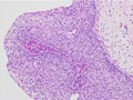
  • 尿路上皮癌(移行上皮癌、G1)ミクロ像(HE中拡大)
  • 尿路上皮癌(移行上皮癌、G1)ミクロ像(HE強拡大)
  • 尿路上皮癌(移行上皮癌、G3)ミクロ像(HE強拡大)