尿路上皮癌(移行上皮癌、G1)ミクロ像(HE中拡大)
尿路上皮癌(移行上皮癌、G1)ミクロ像(HE中拡大)

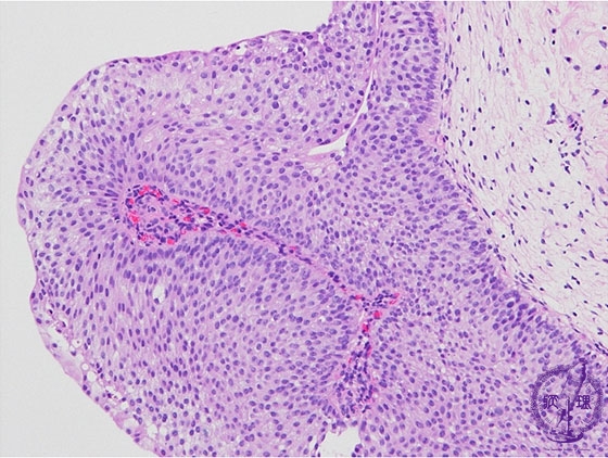
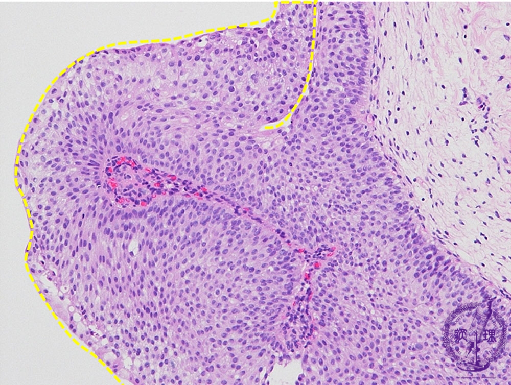
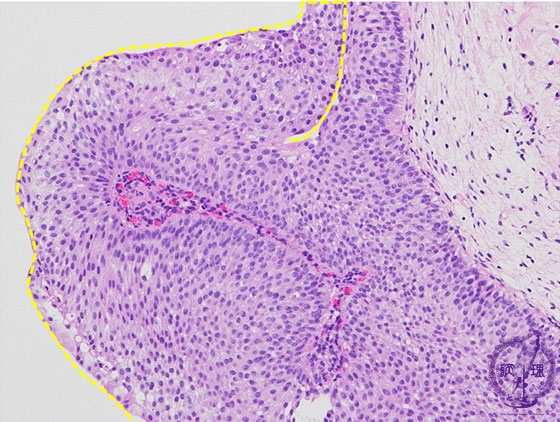
ミクロ像(HE中拡大):大部分の尿路上皮癌は乳頭状(黄色点線)に増殖する。また、粘膜下で内反性に増殖する場合もしばしばみられる。異型度により、Grade 1(軽度異型)、Grade 2(中等度異型)、Grade 3(高度異型)に分類される。Grade 1(軽度異型)では、尿路上皮は7層を越え多層化を示す。

画像をクリックすると拡大表示します。

  • ガイドなし
  • ガイドあり
  • 尿路上皮癌(移行上皮癌)マクロ像
  • 尿路上皮癌(移行上皮癌、G1)ミクロ像(HE中拡大)
  • 尿路上皮癌(移行上皮癌、G1)ミクロ像(HE強拡大)
  • 尿路上皮癌(移行上皮癌、G3)ミクロ像(HE強拡大)