唾液腺腫瘍(腺様嚢胞癌)ミクロ像(HE中拡大)
唾液腺腫瘍(腺様嚢胞癌)ミクロ像(HE中拡大)

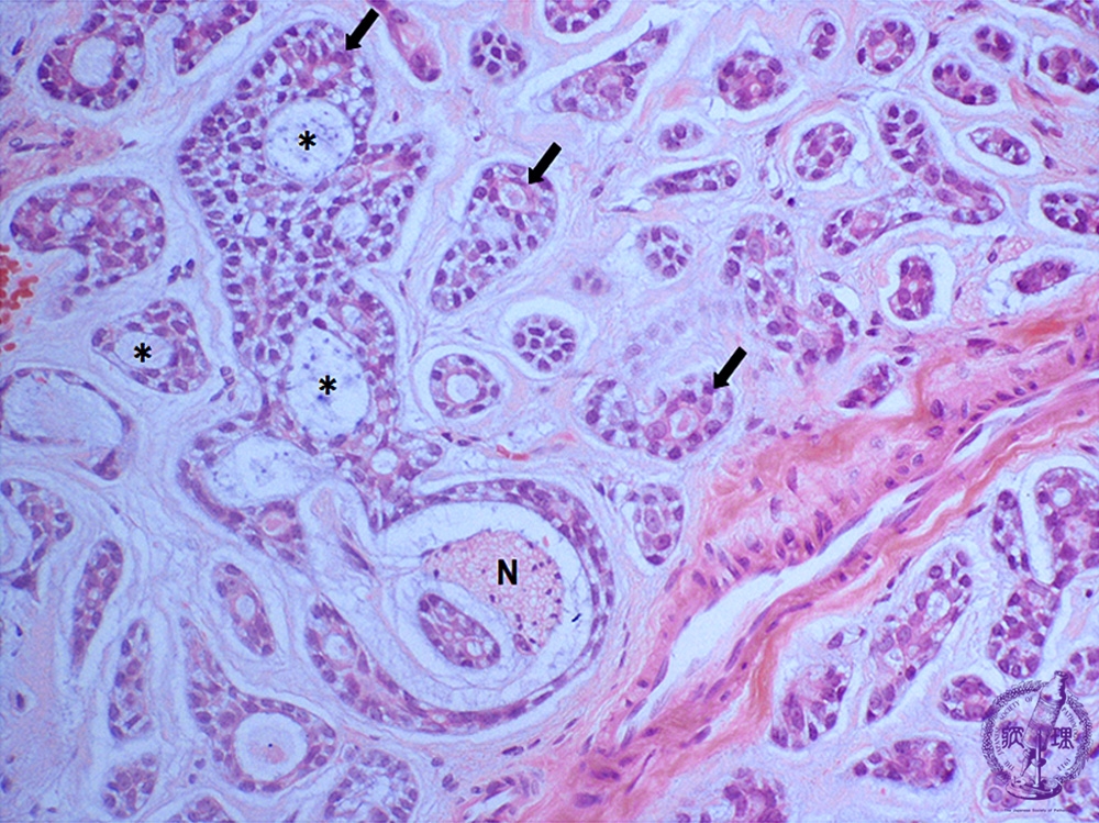
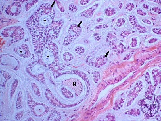
ミクロ像(HE中拡大):篩状の腔は、真の腺管(矢印)と偽嚢胞腔(*)よりなる。真の腺腔は、好酸性の細胞質を有する腺上皮細胞で囲まれ、偽嚢胞腔は細胞質に乏しい腫瘍性筋上皮/基底細胞様細胞で囲まれる。神経線維束(N)周囲への浸潤がみられる。

画像をクリックすると拡大表示します。

  • ガイドなし
  • ガイドあり
  • 唾液腺腫瘍(腺様嚢胞癌)マクロ像
  • 唾液腺腫瘍(腺様嚢胞癌)ミクロ像(HE弱拡大)
  • 唾液腺腫瘍(腺様嚢胞癌)ミクロ像(HE中拡大)