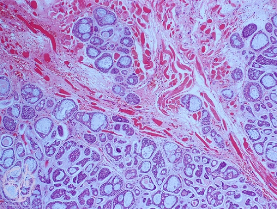
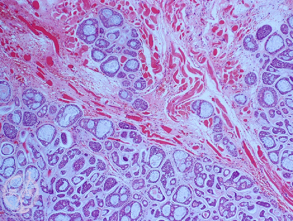
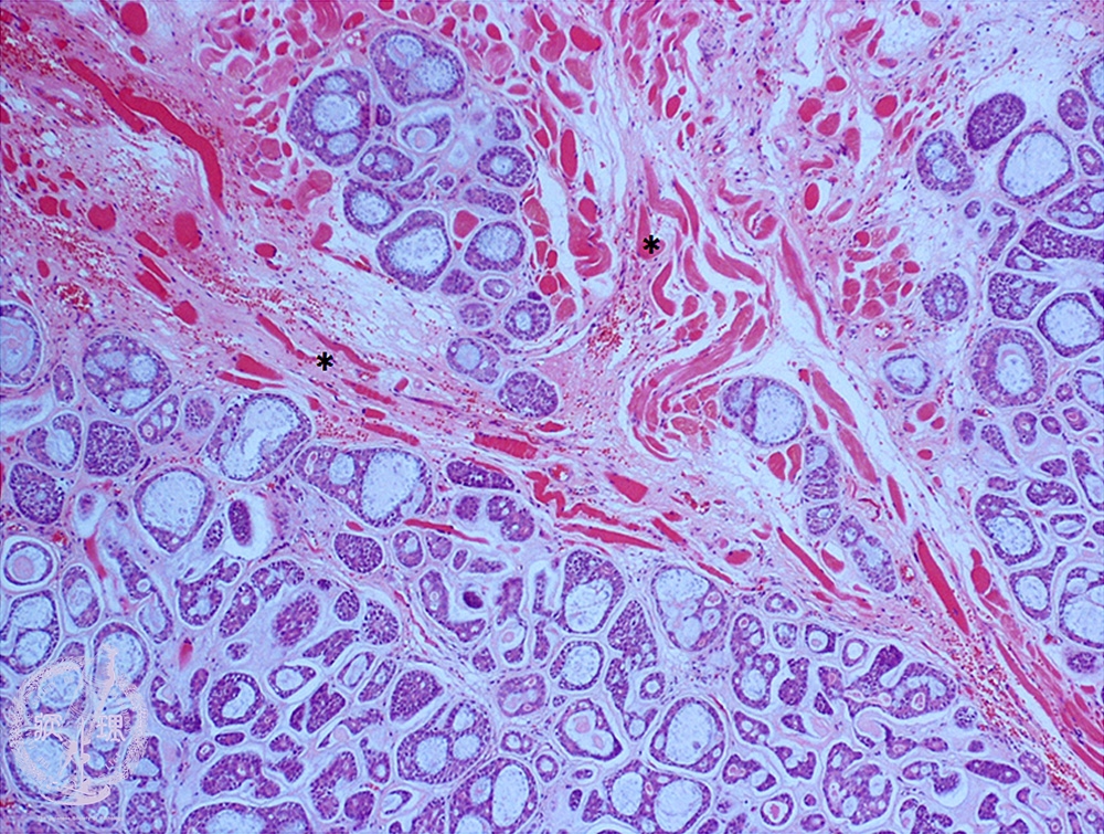
唾液腺腫瘍(腺様嚢胞癌)ミクロ像(HE弱拡大)
唾液腺腫瘍(腺様嚢胞癌)ミクロ像(HE弱拡大)

ミクロ像(HE弱拡大):多数の篩状、管状胞巣が筋組織内(*)に浸潤性に増殖している。

画像をクリックすると拡大表示します。

  • ガイドなし
  • ガイドあり
  • 唾液腺腫瘍(腺様嚢胞癌)マクロ像
  • 唾液腺腫瘍(腺様嚢胞癌)ミクロ像(HE弱拡大)
  • 唾液腺腫瘍(腺様嚢胞癌)ミクロ像(HE中拡大)