唾液腺腫瘍(腺様嚢胞癌)マクロ像

マクロ像:口腔内写真。口蓋に潰瘍形成を伴う腫瘤が認められる。周囲組織との境界は不明瞭である。

画像をクリックすると拡大表示します。

  • この画像にガイドはありません
  • 唾液腺腫瘍(腺様嚢胞癌)マクロ像
  • 唾液腺腫瘍(腺様嚢胞癌)ミクロ像(HE弱拡大)
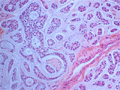
  • 唾液腺腫瘍(腺様嚢胞癌)ミクロ像(HE中拡大)