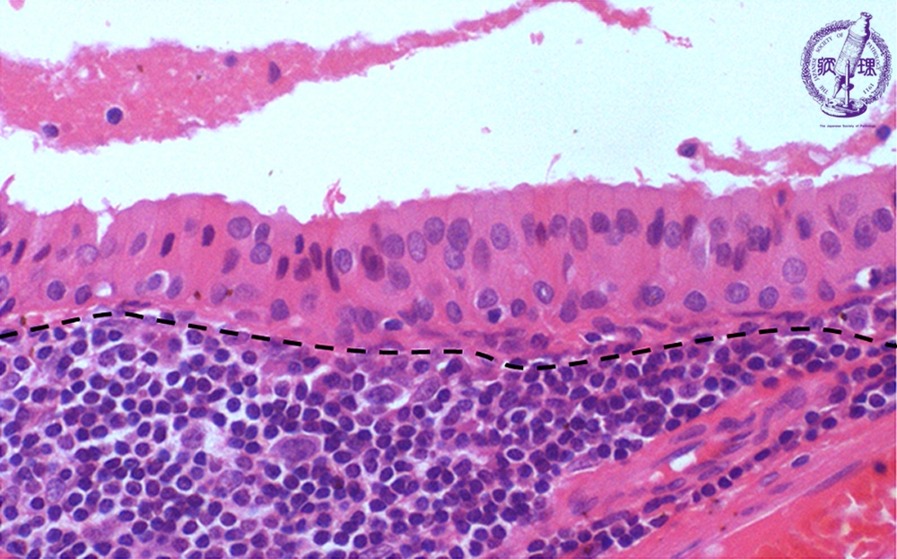
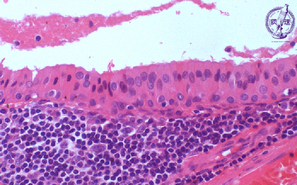
唾液腺腫瘍(ワルチン腫瘍)ミクロ像(HE強拡大)
唾液腺腫瘍(ワルチン腫瘍)ミクロ像(HE強拡大)

ミクロ像(HE強拡大):腫瘍細胞は、好酸性顆粒状の細胞質を有するオンコサイトである。腔に面する高円柱状細胞とその下の立方形細胞が2列に並んでいる。間質(点線下方)は、リンパ性組織である。

画像をクリックすると拡大表示します。

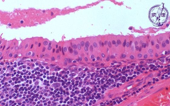
  • ガイドなし
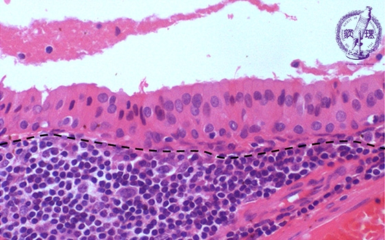
  • ガイドあり
  • 唾液腺腫瘍(ワルチン腫瘍)マクロ像
  • 唾液腺腫瘍(ワルチン腫瘍)ミクロ像(HE弱拡大)
  • 唾液腺腫瘍(ワルチン腫瘍)ミクロ像(HE強拡大)