唾液腺腫瘍(ワルチン腫瘍)マクロ像

マクロ像:耳下腺組織内に境界明瞭な腫瘍があり、割面では褐色調である。

画像をクリックすると拡大表示します。

  • この画像にガイドはありません
  • 唾液腺腫瘍(ワルチン腫瘍)マクロ像
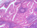
  • 唾液腺腫瘍(ワルチン腫瘍)ミクロ像(HE弱拡大)
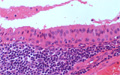
  • 唾液腺腫瘍(ワルチン腫瘍)ミクロ像(HE強拡大)