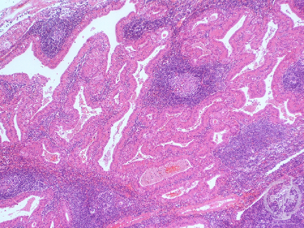
唾液腺腫瘍(ワルチン腫瘍)ミクロ像(HE弱拡大)
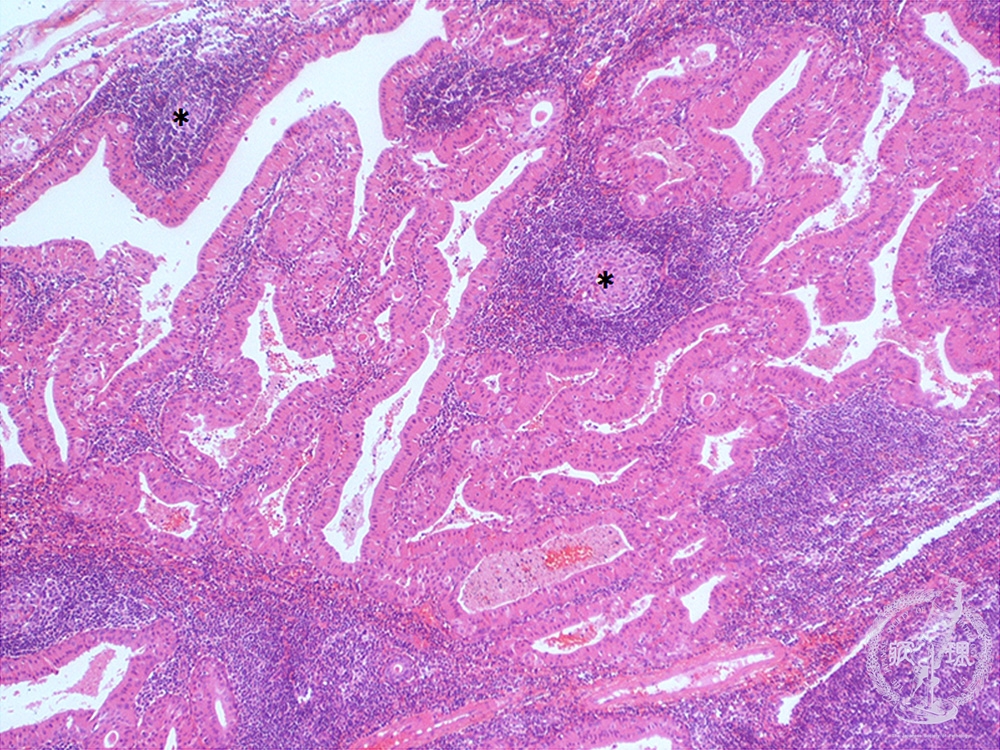
唾液腺腫瘍(ワルチン腫瘍)ミクロ像(HE弱拡大)

ミクロ像(HE弱拡大):好酸性細胞質を有する上皮細胞(腫瘍細胞)が拡張した腔を形成し、腔内に乳頭状に増殖している。間質はリンパ性組織で、リンパ濾胞(*)の形成がみられる。

画像をクリックすると拡大表示します。

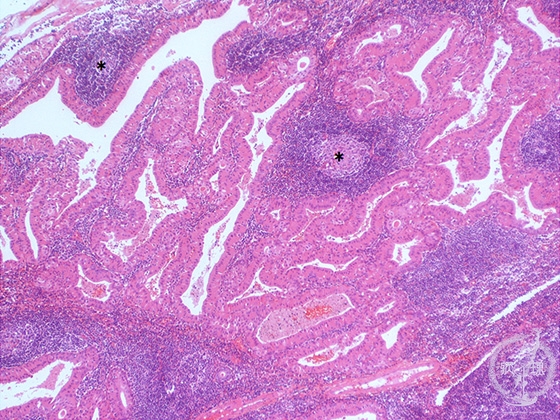
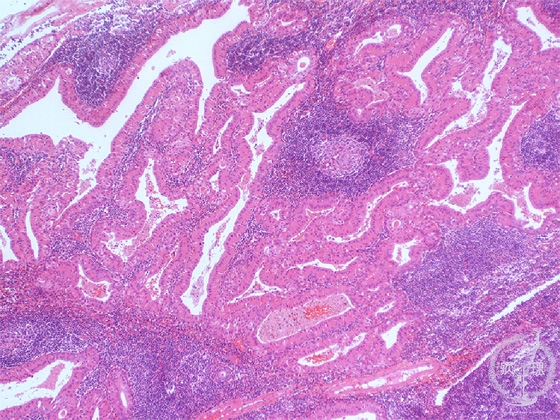
  • ガイドなし
  • ガイドあり
  • 唾液腺腫瘍(ワルチン腫瘍)マクロ像
  • 唾液腺腫瘍(ワルチン腫瘍)ミクロ像(HE弱拡大)
  • 唾液腺腫瘍(ワルチン腫瘍)ミクロ像(HE強拡大)