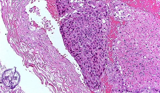
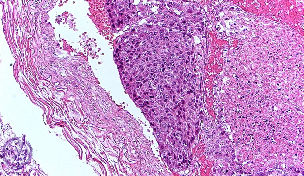
転移性肺腫瘍ミクロ像(HE中拡大)

ミクロ像(HE中拡大):充実性に増生する低分化肝細胞癌が腫瘍塞栓を形成している。腫瘍の右側には壊死が見られる。他の部位では分化度の高い肝細胞癌が見られた。

画像をクリックすると拡大表示します。

  • この画像にガイドはありません
  • 転移性肺腫瘍マクロ像
  • 転移性肺腫瘍ミクロ像(HE弱拡大)
  • 転移性肺腫瘍ミクロ像(HE中拡大)
  • 転移性肺腫瘍マクロ像