転移性肺腫瘍マクロ像
転移性肺腫瘍マクロ像

マクロ像:肝細胞癌の全身多発転移で亡くなった症例。肺動脈内に淡黄色の腫瘍塞栓が見られる(矢印)。

画像をクリックすると拡大表示します。

  • ガイドなし
  • ガイドあり
  • 転移性肺腫瘍マクロ像
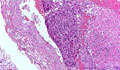
  • 転移性肺腫瘍ミクロ像(HE弱拡大)
  • 転移性肺腫瘍ミクロ像(HE中拡大)
  • 転移性肺腫瘍マクロ像