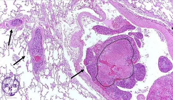
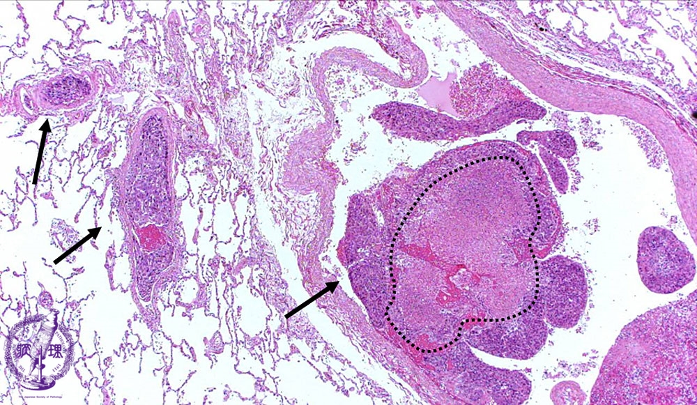
転移性肺腫瘍ミクロ像(HE弱拡大)
転移性肺腫瘍ミクロ像(HE弱拡大)

ミクロ像(HE弱拡大):肺の血管内に腫瘍塞栓(矢印)を認める。大きな胞巣では中央部に壊死(点線)を伴っている。

画像をクリックすると拡大表示します。

  • ガイドなし
  • ガイドあり
  • 転移性肺腫瘍マクロ像
  • 転移性肺腫瘍ミクロ像(HE弱拡大)
  • 転移性肺腫瘍ミクロ像(HE中拡大)
  • 転移性肺腫瘍マクロ像