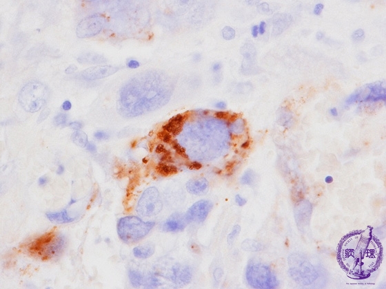
絨毛癌ミクロ像(ヒト絨毛性ゴナドトロピン(h-CG)免疫染色強拡大)
絨毛癌ミクロ像(ヒト絨毛性ゴナドトロピン(h-CG)免疫染色強拡大)

ミクロ像(ヒト絨毛性ゴナドトロピン(h-CG)免疫染色強拡大):腫瘍細胞の細胞質はh-CGに陽性である。

画像をクリックすると拡大表示します。

  • ガイドなし
  • ガイドあり
  • 絨毛癌ミクロ像(HE弱拡大)
  • 絨毛癌ミクロ像(ヒト絨毛性ゴナドトロピン(h-CG)免疫染色強拡大)