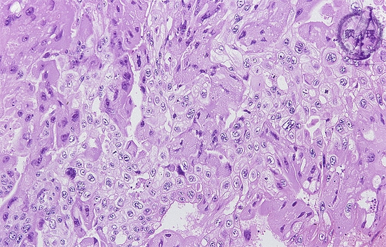
絨毛癌ミクロ像(HE弱拡大)
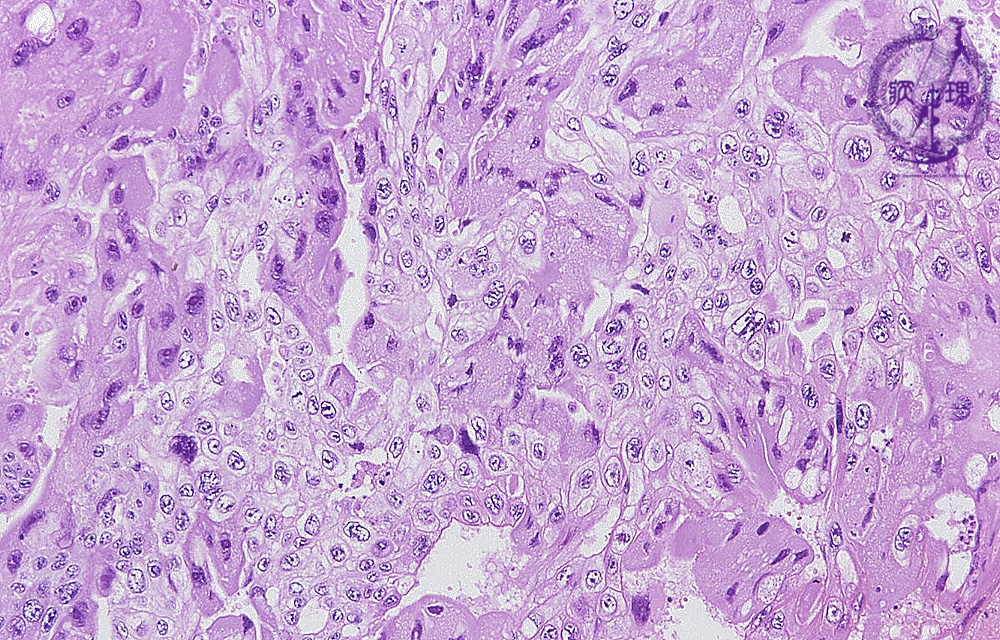
絨毛癌ミクロ像(HE弱拡大)

ミクロ像(HE弱拡大):好酸性で多核の合胞体栄養膜細胞(syncytiotrophoblast、黄色点線)に類似した腫瘍細胞と、淡明な細胞質を有する細胞性栄養膜細胞(cytotrophoblast、青色点線)に類似した腫瘍細胞のシート状増殖が認められる。前者の腫瘍細胞からはh-CGが産生・分泌される。

画像をクリックすると拡大表示します。

  • ガイドなし
  • ガイドあり
  • 絨毛癌ミクロ像(HE弱拡大)
  • 絨毛癌ミクロ像(ヒト絨毛性ゴナドトロピン(h-CG)免疫染色強拡大)