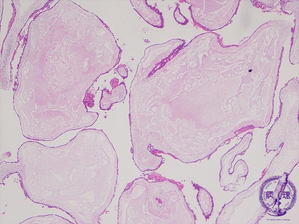
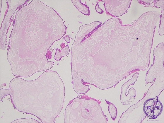
胞状奇胎(全、部分)ミクロ像(HE弱拡大)
胞状奇胎(全、部分)ミクロ像(HE弱拡大)

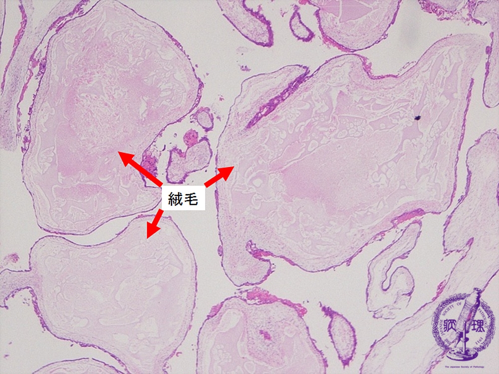
ミクロ像(HE弱拡大):水腫状に腫大した絨毛で、間質の血管は認められない(矢印)。絨毛上皮細胞の増殖が軽度認められる。

画像をクリックすると拡大表示します。

  • ガイドなし
  • ガイドあり
  • 胞状奇胎(全、部分)マクロ像
  • 胞状奇胎(全、部分)ミクロ像(HE弱拡大):
  • 胞状奇胎(全、部分)ミクロ像(HE中拡大)