胞状奇胎(全、部分)マクロ像
胞状奇胎(全、部分)マクロ像

マクロ像:肉眼像ではほぼ全ての絨毛が嚢胞状に拡張しており、その大部分は短径が2mm以上である(黄色点線)。

画像をクリックすると拡大表示します。

  • ガイドなし
  • ガイドあり
  • 胞状奇胎(全、部分)マクロ像
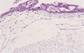
  • 胞状奇胎(全、部分)ミクロ像(HE弱拡大):
  • 胞状奇胎(全、部分)ミクロ像(HE中拡大)