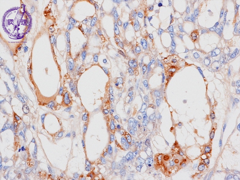
卵黄嚢腫瘍ミクロ像(α-フェトプロテイン(AFP)免疫染色強拡大)
卵黄嚢腫瘍ミクロ像(α-フェトプロテイン(AFP)免疫染色強拡大)

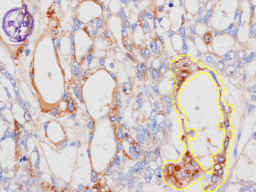
ミクロ像(α-フェトプロテイン(AFP)免疫染色強拡大):腫瘍細胞の細胞質はAFPに陽性である(黄色点線)。

画像をクリックすると拡大表示します。

  • ガイドなし
  • ガイドあり
  • 卵黄嚢腫瘍マクロ像
  • 卵黄嚢腫瘍ミクロ像(HE中拡大)
  • 卵黄嚢腫瘍ミクロ像(HE強拡大)
  • 卵黄嚢腫瘍ミクロ像(α-フェトプロテイン(AFP)免疫染色強拡大)