卵黄嚢腫瘍マクロ像
卵黄嚢腫瘍マクロ像

マクロ像:卵巣腫瘤の割面では、出血や壊死(黄色点線)を伴う淡黄色調の充実性腫瘍が認められる。

画像をクリックすると拡大表示します。

  • ガイドなし
  • ガイドあり
  • 卵黄嚢腫瘍マクロ像
  • 卵黄嚢腫瘍ミクロ像(HE中拡大)
  • 卵黄嚢腫瘍ミクロ像(HE強拡大)
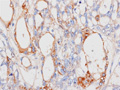
  • 卵黄嚢腫瘍ミクロ像(α-フェトプロテイン(AFP)免疫染色強拡大)