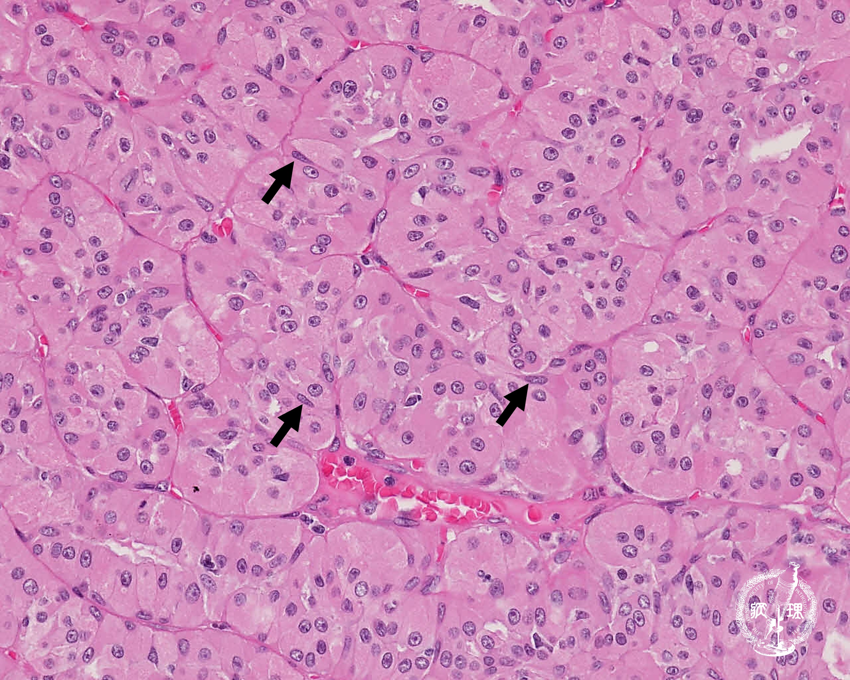
ミクロ像(HE強拡大):好酸性の豊富な細胞質を有する細胞(light cells)が胞巣状構造を呈し増殖している。細胞質の好酸性がより強く、核が濃縮状の細胞(dark cells)も散在性に混在する。腫瘍細胞間の間質は狭く、毛細血管が介在する。

画像をクリックすると拡大表示します。

  • ガイドなし
  • ガイドあり
  • 唾液腺腫瘍 (オンコサイトーマ)
  • 唾液腺腫瘍 (オンコサイトーマ)
  • 唾液腺腫瘍 (オンコサイトーマ)