マクロ像:境界明瞭な黄褐色充実性腫瘤であり、一部に嚢胞性変化を伴う。

画像をクリックすると拡大表示します。

  • この画像にガイドはありません
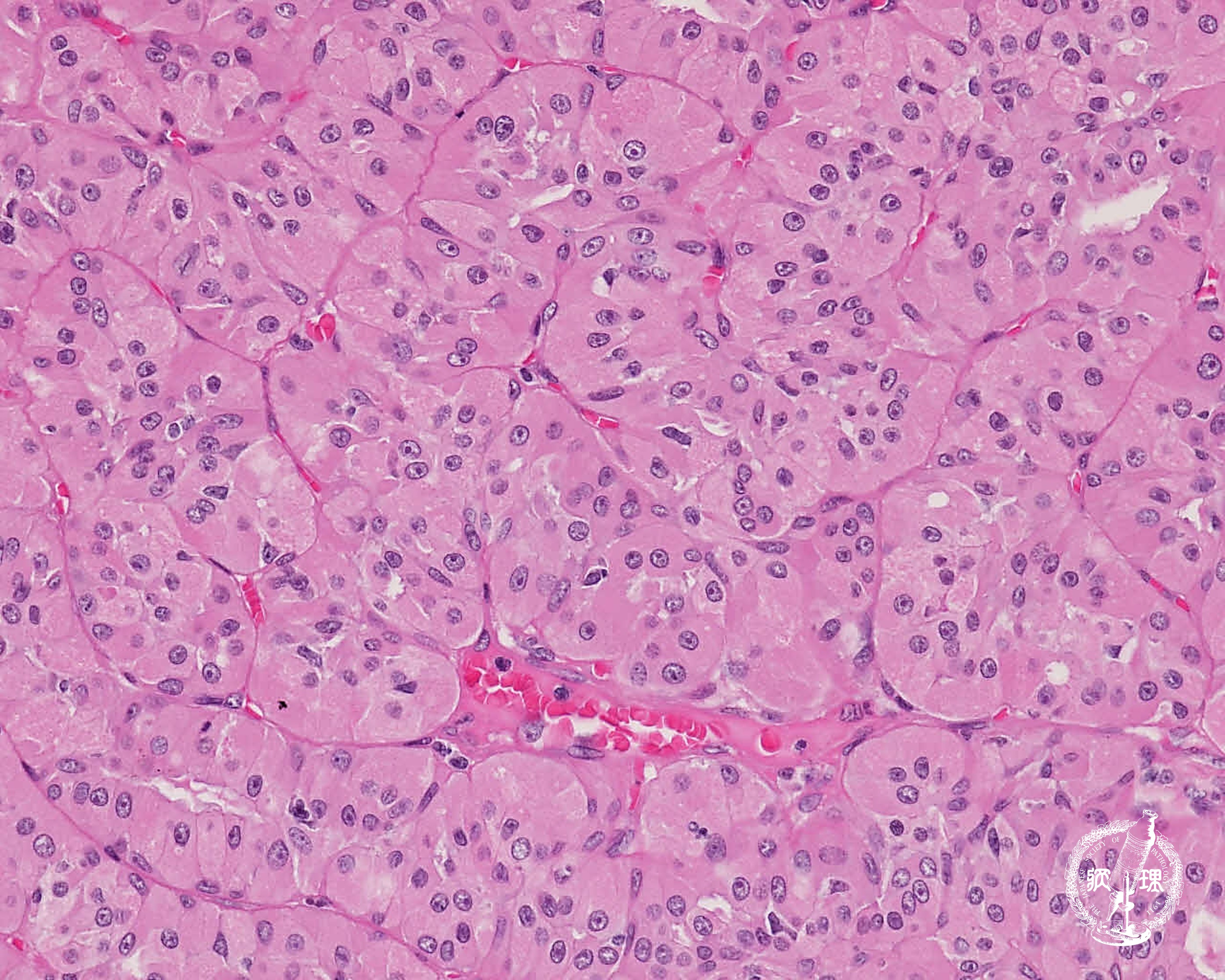
  • 唾液腺腫瘍 (オンコサイトーマ)
  • 唾液腺腫瘍 (オンコサイトーマ)
  • 唾液腺腫瘍 (オンコサイトーマ)