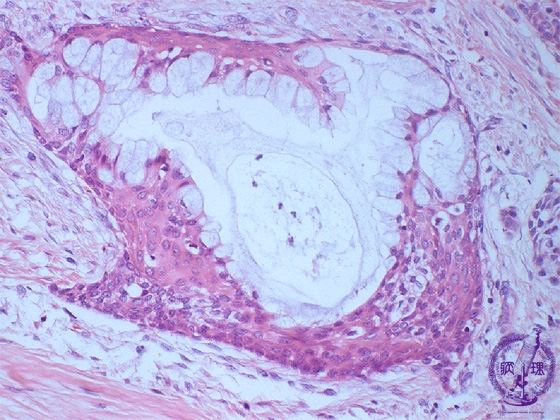
唾液腺腫瘍(粘表皮癌)ミクロ像(HE強拡大)
唾液腺腫瘍(粘表皮癌)ミクロ像(HE強拡大)

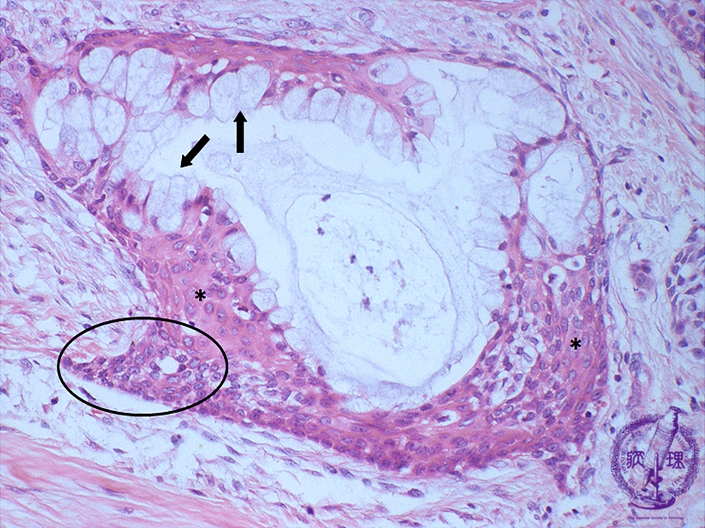
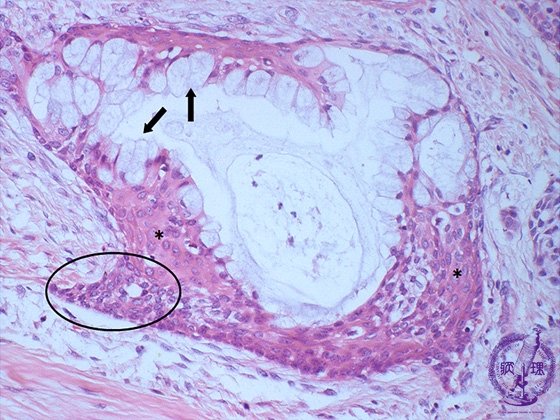
ミクロ像(HE強拡大):粘液産生細胞(矢印)と類表皮細胞(*)が主体で、細胞異型や分裂像には乏しい。分化の明らかでない小型の中間細胞(円内)も少数認められる。

画像をクリックすると拡大表示します。

  • ガイドなし
  • ガイドあり
  • 唾液腺腫瘍(粘表皮癌)ミクロ像(HE弱拡大)
  • 唾液腺腫瘍(粘表皮癌)ミクロ像(HE強拡大)
  • 唾液腺腫瘍(粘表皮癌)ミクロ像(ムチカルミン染色強拡大)