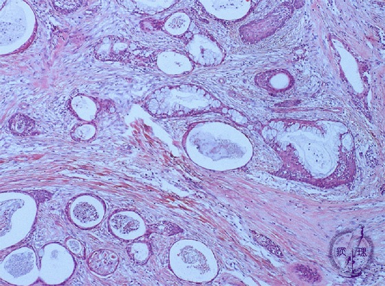
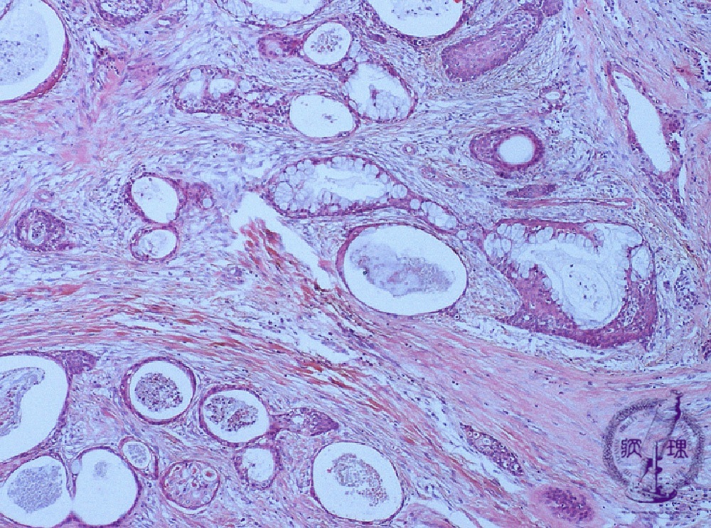
唾液腺腫瘍(粘表皮癌)

ミクロ像(HE弱拡大):腺管や嚢胞状の多数の胞巣を形成している(高分化型)。

画像をクリックすると拡大表示します。

  • この画像にガイドはありません
  • 唾液腺腫瘍(粘表皮癌)ミクロ像(HE弱拡大)
  • 唾液腺腫瘍(粘表皮癌)ミクロ像(HE強拡大)
  • 唾液腺腫瘍(粘表皮癌)ミクロ像(ムチカルミン染色強拡大)