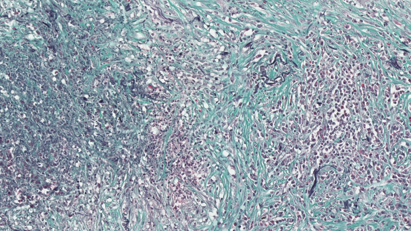
多発血管炎性肉芽腫症の肺病変
多発血管炎性肉芽腫症の肺病変

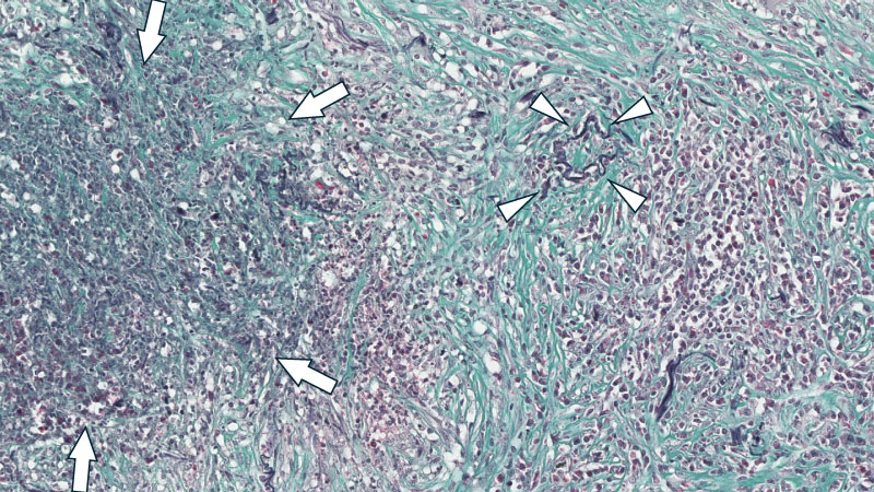
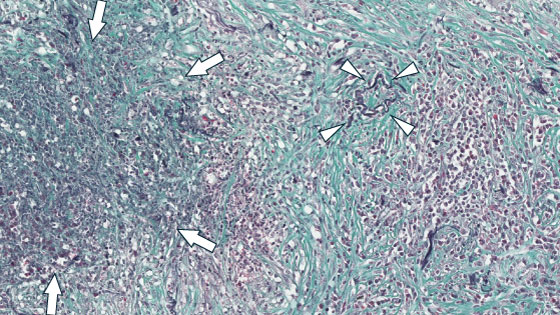
ミクロ像 (Elastica-Masson染色 中拡大): 著明な好中球浸潤を伴う壊死部(矢印)とそれを取り囲む肉芽腫性病変。HE染色で判別が難しかった巻き込まれた血管(矢頭)との区別が、明確になった。

画像をクリックすると拡大表示します。

  • ガイドなし
  • ガイドあり
  • 多発血管炎性肉芽腫症
  • 多発血管炎性肉芽腫症の肺病変
  • 多発血管炎性肉芽腫症の肺病変
  • 多発血管炎性肉芽腫症の肺病変