多発血管炎性肉芽腫症の肺病変
多発血管炎性肉芽腫症の肺病変

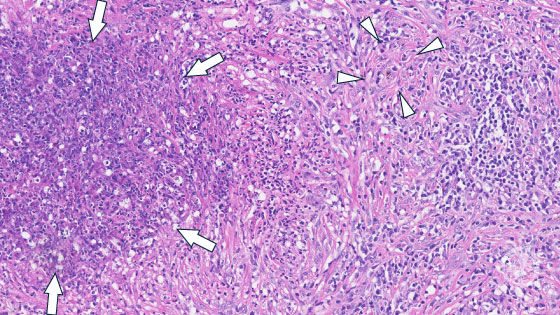
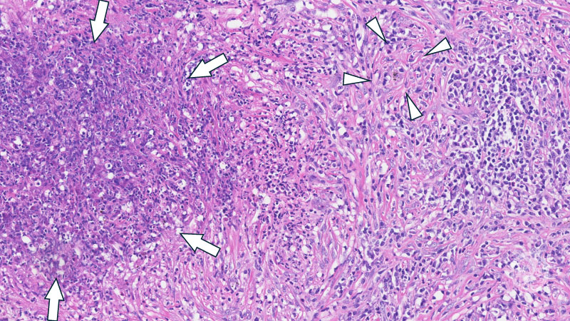
ミクロ像 (HE中拡大): 著明な好中球浸潤を伴う壊死部(矢印)とそれを取り囲む肉芽腫性病変。HE染色では巻き込まれた血管(矢頭)と血管炎は判別が難しい。

画像をクリックすると拡大表示します。

  • ガイドなし
  • ガイドあり
  • 多発血管炎性肉芽腫症
  • 多発血管炎性肉芽腫症の肺病変
  • 多発血管炎性肉芽腫症の肺病変
  • 多発血管炎性肉芽腫症の肺病変