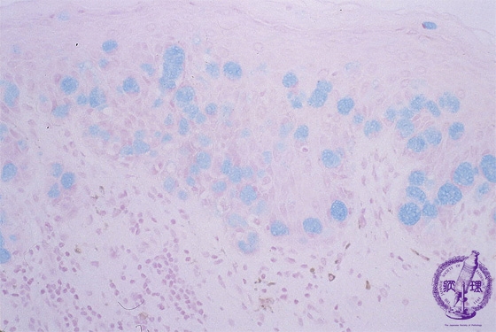
乳房外Paget病ミクロ像(アルシアン青(alcian blue)染色強拡大)

ミクロ像(アルシアン青(alcian blue)染色強拡大):Paget細胞はムコ多糖を含有し、alcian blue染色やPAS染色で細胞質が陽性所見を示す。

画像をクリックすると拡大表示します。

  • この画像にガイドはありません
  • 乳房外Paget病マクロ像
  • 乳房外Paget病ミクロ像(HE中拡大)
  • 乳房外Paget病ミクロ像(HE強拡大)
  • 乳房外Paget病ミクロ像(アルシアン青(alcian blue)染色強拡大)