• 20.皮膚
  • (6)母斑細胞母斑(真皮内・境界・複合)
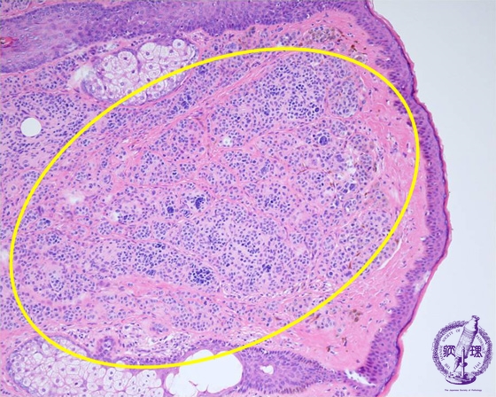
母斑細胞母斑(真皮内・境界・複合)ミクロ像(HE弱拡大)
母斑細胞母斑(真皮内・境界・複合)ミクロ像(HE弱拡大)

ミクロ像(HE弱拡大):メラノサイトにもシュワン細胞にもなれなかった母斑細胞(円内)が真皮内で増生する。

画像をクリックすると拡大表示します。

  • ガイドなし
  • ガイドあり
  • 母斑細胞母斑(真皮内・境界・複合)マクロ像
  • 母斑細胞母斑(真皮内・境界・複合)ミクロ像(HE弱拡大)
  • 母斑細胞母斑(真皮内・境界・複合)ミクロ像(HE強拡大)