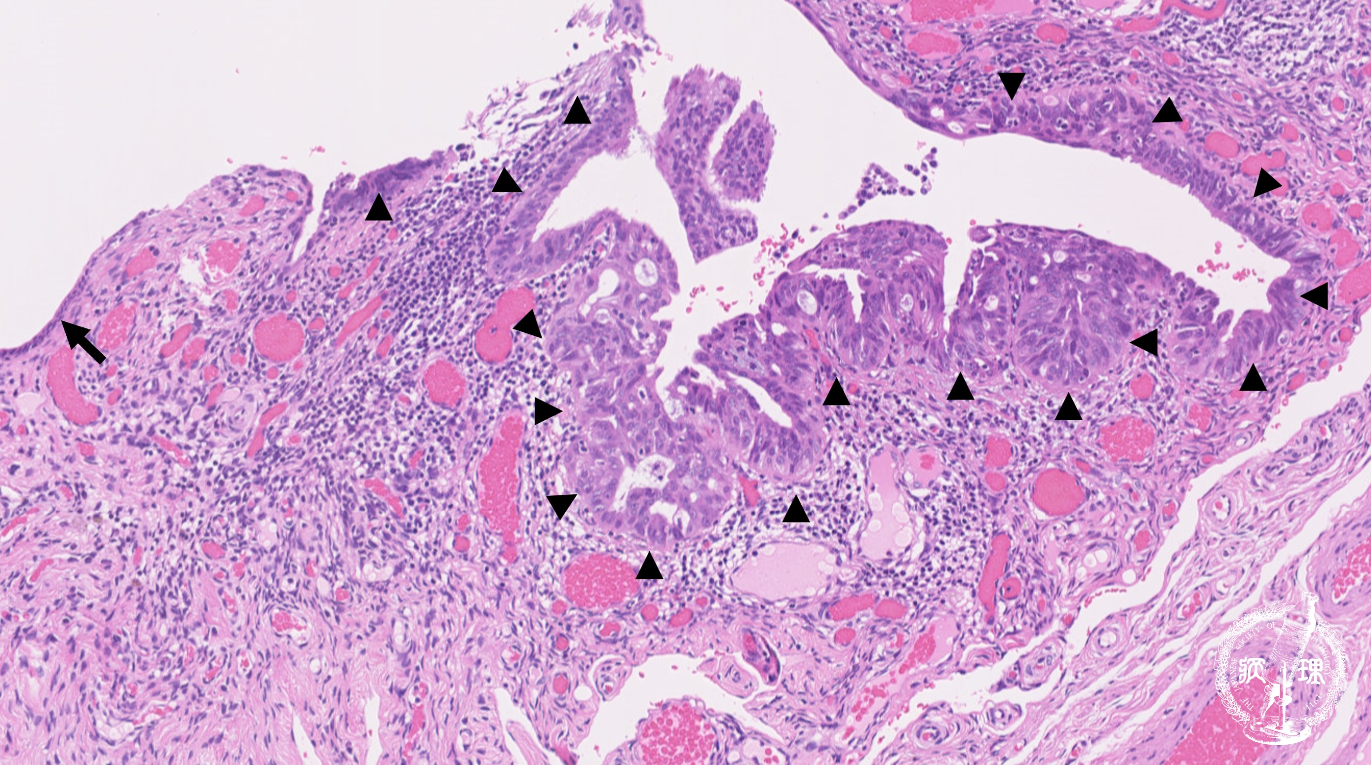
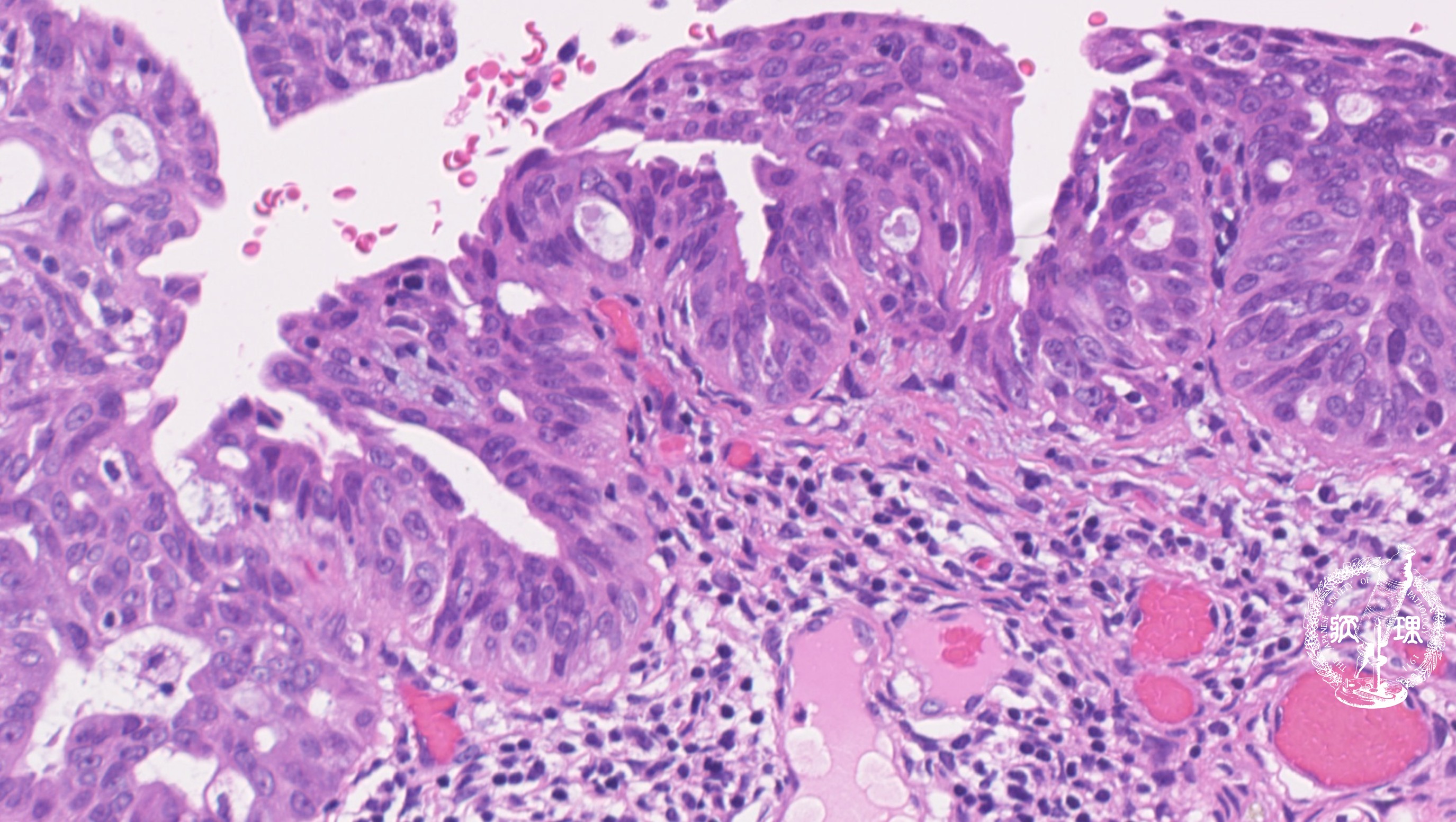
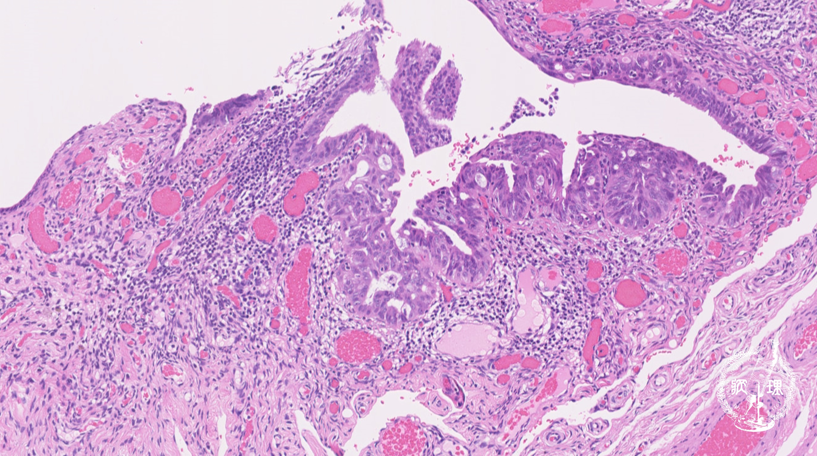
ミクロ像 (HE弱拡大):卵管采上皮。既存の卵管采上皮を置換するように、濃染腫大核を有する腫瘍細胞が密に増生している。左側には正常の卵管上皮 が残存している(矢印)。

画像をクリックすると拡大表示します。

  • ガイドなし
  • ガイドあり