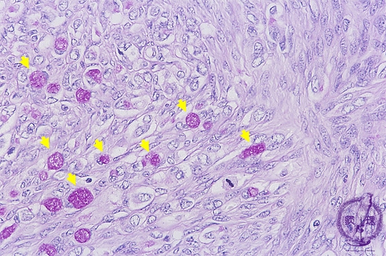
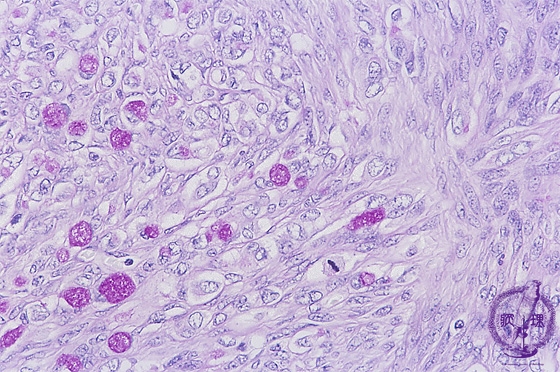
クルケンベルグ腫瘍ミクロ像(ジアスターゼ消化PAS染色強拡大)
クルケンベルグ腫瘍ミクロ像(ジアスターゼ消化PAS染色強拡大)

ミクロ像(ジアスターゼ消化PAS染色強拡大):印環細胞癌の有する粘液が赤紫色に染色されている(黄色矢印)。

画像をクリックすると拡大表示します。

  • ガイドなし
  • ガイドあり
  • クルケンベルグ腫瘍マクロ像
  • クルケンベルグ腫瘍ミクロ像(HE弱拡大)
  • クルケンベルグ腫瘍ミクロ像(ジアスターゼ消化PAS染色強拡大)