卵巣明細胞腺癌ミクロ像(HE強拡大)
卵巣明細胞腺癌ミクロ像(HE強拡大)

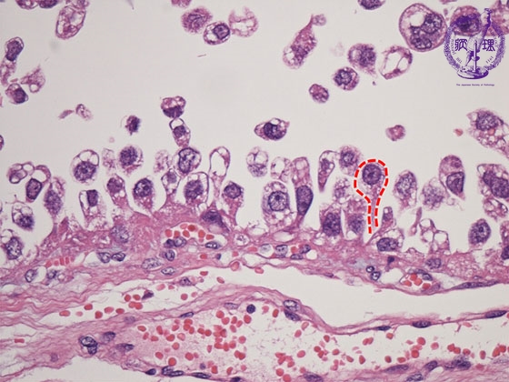
ミクロ像(HE強拡大):淡明な胞体を有する癌細胞がhobnail状(核が細胞の遊離面近くに突出する状態)に増殖している(赤色点線)。 Hobnailは靴底に使われる頭の大きな釘のことをいう。

画像をクリックすると拡大表示します。

  • ガイドなし
  • ガイドあり
  • 卵巣明細胞腺癌マクロ像(未固定新鮮標本)
  • 卵巣明細胞腺癌ミクロ像(HE強拡大)
  • 卵巣明細胞腺癌ミクロ像(HE中拡大)
  • 卵巣明細胞腺癌ミクロ像(HE強拡大)