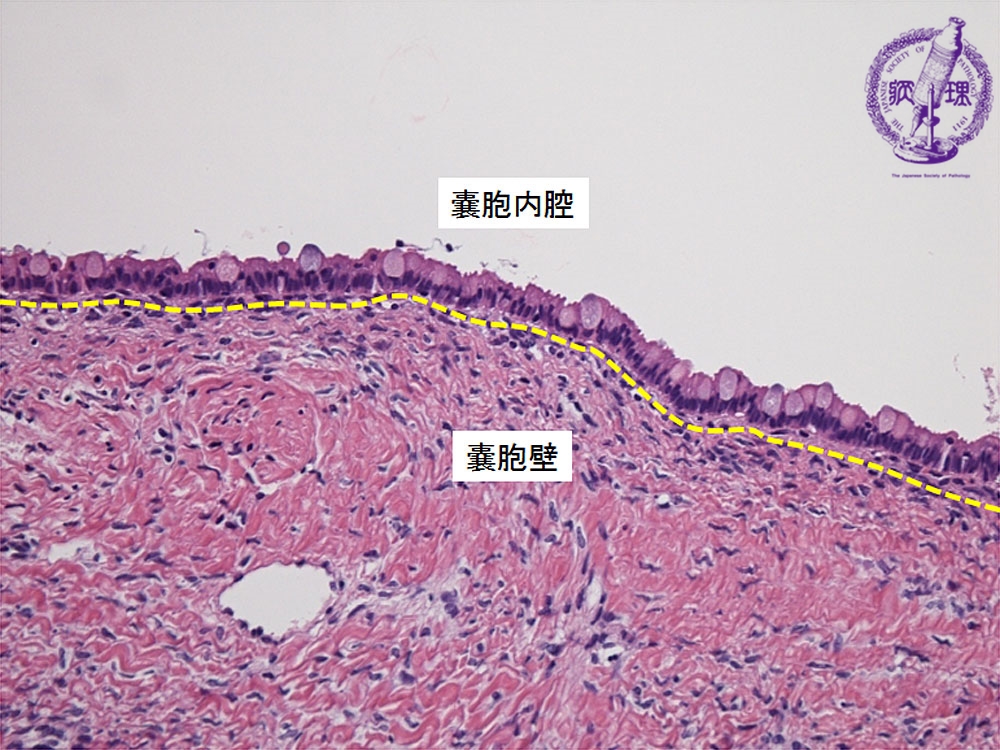
卵巣粘液性嚢胞腺腫ミクロ像(HE強拡大)
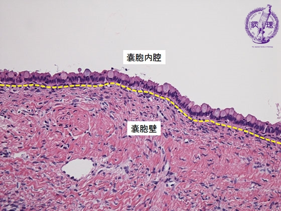
卵巣粘液性嚢胞腺腫ミクロ像(HE強拡大)

ミクロ像(HE強拡大):嚢胞内腔面には、一層の円柱上皮がみられる(黄色点線)。腫瘍細胞の細胞質は淡明で、核は基底側に配列している。

画像をクリックすると拡大表示します。

  • ガイドなし
  • ガイドあり
  • 卵巣粘液性嚢胞腺腫マクロ像
  • 卵巣粘液性嚢胞腺腫ミクロ像(HE強拡大)
  • 卵巣粘液性嚢胞腺癌マクロ像
  • 卵巣粘液性嚢胞腺癌ミクロ像(HE中拡大)