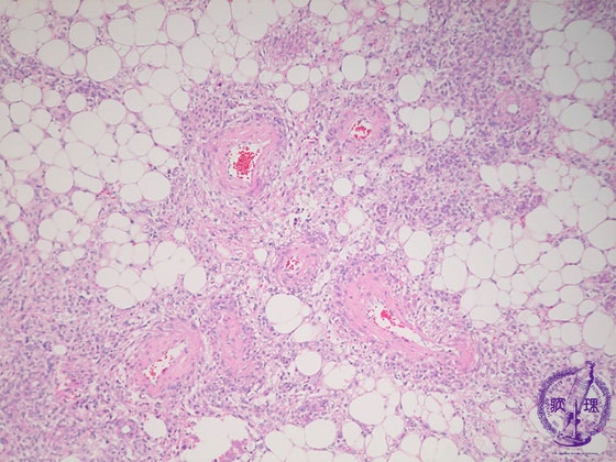
腎血管平滑筋脂肪腫(結節性硬化症)ミクロ像(HE中拡大)
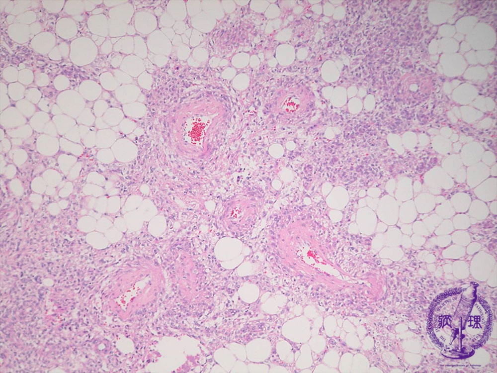
腎血管平滑筋脂肪腫(結節性硬化症)ミクロ像(HE中拡大)

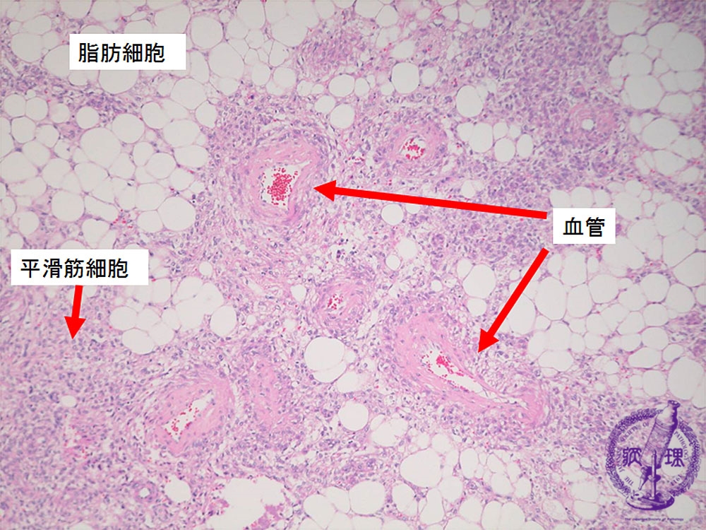
ミクロ像(HE中拡大):腫瘍内では脂肪細胞、壁の肥厚を伴う血管、平滑筋細胞が認められる。

画像をクリックすると拡大表示します。

  • ガイドなし
  • ガイドあり
  • 腎血管平滑筋脂肪腫(結節性硬化症)マクロ像
  • 腎血管平滑筋脂肪腫(結節性硬化症)ミクロ像(HE弱拡大)
  • 腎血管平滑筋脂肪腫(結節性硬化症)ミクロ像(HE中拡大)